牙齿不齐常见哪些危害
牙齿不齐常见哪些危害?牙齿不齐通常是牙齿形态过大、拥挤造成歪歪扭扭的现象,是生活中常见的几种畸形牙症状之一,对患者朋友的身心健康都有影响,一般情况下,牙齿不齐常见哪些危害?
牙齿不齐对于人体的健康产生很大的危害,主要体现在以下几个方面:
首先,影响正常的咀嚼功能,降低咀嚼效率。长期的过度疲劳,受力过大,牙齿、牙周都会不堪重负,牙齿就会慢慢的出现损伤,最终造成牙齿过早的脱落。
其次,牙齿排列不整齐,就很难做好口腔卫生,由于刷牙不容易刷干净,牙垢常堆积在牙缝中,形成细菌滋生繁殖的场所,牙齿就会容易发生龋齿,牙龈很容易发炎。
第三,影响牙齿清洁。牙齿都有自洁功能,在我们进食时利用食物与牙齿表面的摩擦作用把牙面上的污物摩擦掉。牙齿排列不齐会造成牙齿之间容易积存食物残渣,减弱牙齿的这种功能,使得牙齿的清洁变的困难。了解更多牙齿不齐,点击在线咨询,直接与专家相互交流!
最后,影响牙齿生长发育、某些牙齿排列不齐,会妨碍上下牙弓颌骨的正常发育,使得畸形越来越严重。
中韩国际·唯美口腔牙齿矫正技术推荐
中韩国际·唯美口腔率先引进的韩式四维隐形正畸技术继承了传统的牙颌畸形矫治的理念,是现代口腔医学、计算机辅助四维诊断、个性化设计及数字化成型技术的完美结合,是正畸领域的新突破。韩式四维隐形正畸由权威专家坐诊,实现全程无痛无创快速疗法,专门治疗各种牙齿排列不整齐,咬合错位等牙齿形态问题,还你一口整齐、坚固耐用的健康原牙。推荐阅读:韩式隐形正畸
中韩国际·唯美口腔牙齿矫正专家推荐

李玉如,口腔正畸科。副教授,副主任医师,硕士生导师,口腔医学正畸专业硕士。1991年毕业于中山医科大学口腔系,一直从事口腔正畸的临床、教学和科研工作,临床经验丰富,并注重知识的学习更新,2004年硕士学位毕业。擅长正畸科各类牙颌畸形及疑难病例的矫治,对青少年反牙合、开牙合、功能性矫治、阻生牙的导萌牵引及成年人牙颌畸形、牙周病的正畸治疗有良好的疗效。点击在线咨询,了解牙齿矫正的优惠信息!在线预约可享更多优惠!
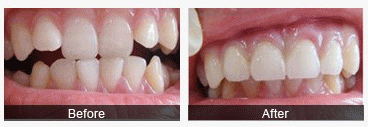
中韩国际·唯美口腔牙齿矫正前后对比图

郑州牙科医院排名最好的医院温馨提示:以上内容是关于牙齿不齐危害的介绍,牙齿畸形一定要早发现,早诊治,这样才能避免更多对身体健康的危害,更多相关信息,可以通过点击中韩国际·唯美口腔的在线咨询,由在线专家给出最专业、最权威的解答。

就诊指南
预约挂号
医院专家
在线咨询