牙齿不齐的危害一般有哪些
牙齿不齐的危害一般有哪些?牙齿排列不齐的问题很常见,没有什么大惊小怪的,这是很多畸形牙朋友的想法,可是口腔专家告诫我们,牙齿不齐会给我们造成很大的危害,那么,牙齿不齐的危害一般有哪些?
牙齿不齐的危害是很大的,要尽早诊治,避免牙齿不齐所带来的危害:
1、导致口腔健康:牙齿不齐让口腔菌斑容易附着,且不易清洁,会引起牙龈、牙周炎、牙龈肿胀出血等症状。
2、影响面容美观:牙齿不齐会造成颌骨及软组织的生长异常,严重影响面部发育及脸形。
3、影响青少年健康成长和心理健康:牙齿不齐的少年儿童,容易受到同学或伙伴的嘲笑,导致自卑、自闭等心理问题,影响身心的健康成长。
4、影响身体健康:牙齿是人体第一道消化系统,由于咬合关系紊乱,导致咀嚼功能下降,加重胃肠道负担,从而影响身体健康。了解更多牙齿不齐,点击在线咨询,直接与专家相互交流!
5、影响社交、就业、择偶:牙齿不齐最直接的危害就是影响美观和形象,严重者将直接造成就业、择偶的困难。
中韩国际·唯美口腔牙齿矫正技术推荐
韩式四维隐形正畸技术是完全个性化的设计理念,可根据正畸者的情况佩带不同的矫治器,完全不影响正畸者的生活。具有隐形高效,稳定美观的特点,并且大大地缩短了疗程,使治疗时间缩短近三分之一,复诊时间缩短二分之一,为正畸者大大节省了时间,透明韩式四维隐形正畸矫正矫治器厚度不到1mm,透明、光滑、舒适,无异物感和粘膜刺激,是目前最受欢迎和信赖的美齿项目。推荐阅读:韩式隐形正畸
中韩国际·唯美口腔牙齿矫正专家推荐

李玉如,口腔正畸科。副教授,副主任医师,硕士生导师,口腔医学正畸专业硕士。1991年毕业于中山医科大学口腔系,一直从事口腔正畸的临床、教学和科研工作,临床经验丰富,并注重知识的学习更新,2004年硕士学位毕业。擅长正畸科各类牙颌畸形及疑难病例的矫治,对青少年反牙合、开牙合、功能性矫治、阻生牙的导萌牵引及成年人牙颌畸形、牙周病的正畸治疗有良好的疗效。点击在线咨询,了解牙齿矫正的优惠信息!在线预约可享更多优惠!
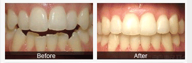
中韩国际·唯美口腔牙齿矫正前后对比图

郑州牙科医院排名最好的医院温馨提示:以上内容是关于牙齿不齐危害的介绍,牙齿畸形一定要早发现,早诊治,这样才能避免更多对身体健康的危害,更多相关信息,可以通过点击中韩国际·唯美口腔的在线咨询,由在线专家给出最专业、最权威的解答。

就诊指南
预约挂号
医院专家
在线咨询