郑州牙齿不齐怎么矫正
郑州牙齿不齐怎么矫正,牙齿不整齐可以采用正畸矫正的方式进行改善,而正畸矫正又分为传 统金属托槽矫正与无托槽隐形矫正,有些人对无托槽隐形矫正的效果有疑虑。金属托槽通过每 个月的复诊与钢丝的更换调整牙齿的排齐位置,而无托槽隐形矫正则是利用,两周更换一次透 明牙套的方式进行矫正。由于比较美观,很多人还是选择隐形无托槽牙齿矫正,那么郑州牙齿 不齐怎么矫正,下面我们就去了解一下吧。

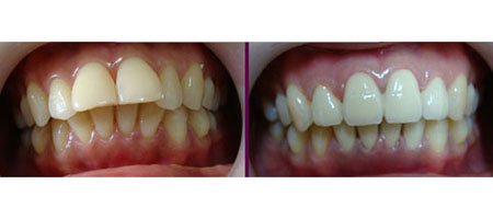
郑州牙齿不齐怎么矫正
牙列不齐要怎么矫正郑州唯美口腔医院专家介绍,相对比金光闪闪的传统托槽矫正,很多人都喜欢隐形矫正,最主要的原因是隐形矫正没有传统托槽矫正的钢丝与托槽,并且,其隐形美观,解决了许多患者对矫正牙齿的美观顾虑;舒适不痛,对牙周组织的刺激及不适感最低;摘戴方便,可自行摘戴,不影响社交、进食、运动;复诊次数减少;清洁简单,口腔卫生容易维护,托槽容易拆卸,所以很容易清洁,也不必担心牙龈炎、牙齿脱矿、变色等问题。
牙齿矫正为什么会反弹
1、牙齿矫正医师操作不好。在进行牙齿矫正的时候,医师的操作决定了牙齿矫正的成败。没有一个经验丰富技艺高超的医师,就无法为消费者营造一个良好的牙齿矫正条件。
2、牙齿矫正方法。好的牙齿矫正方法对牙齿矫正效果有较大的巩固效果。如果成人还是选择传统的牙套矫正方法的话,那么牙齿反弹的可能性是很大的。推荐阅读<<<<做牙齿矫正要多少
3、消费者自身的维护。在牙齿矫正之后,消费者除了要对口腔清洁进行维护之外,还需要改正之前不良的口腔习惯,培养一个健康科学的生活方式。
郑州牙科医院郑州唯美口腔环境优雅,舒适宜人。人性化设计的候诊休息区解决了您等候的烦恼。可以随意阅读时尚杂志,也可以精心欣赏亲切的背景音乐。处于一个放松自己的心情。在郑州唯美口腔看牙,让您得到更私密安心的治疗服务,唯美口腔让您在不知不觉中拥有美丽笑容!

就诊指南
预约挂号
医院专家
在线咨询