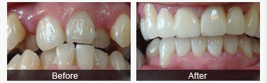
做牙齿矫正要多少
做牙齿矫正要多少 ,隐形矫正是继传统牙箍矫正之后深入患者内心的矫正方式,隐形矫正适合绝大多数的牙齿不齐患者,并且对患者的年龄并没有要求,任何年龄的患者只要对自己的口腔状况不满意,都可以通过隐形矫正的方式进行改变。而对于隐形矫正来说,患者比较担心的是隐形矫正的价格,那么做牙齿矫正要多少。下面我们就去了解一下吧。

做牙齿矫正要多少
牙列不整齐要怎么办郑州唯美口腔医院专家介绍,由于口腔问题因人而异,不同程度、不同种类都会给牙齿矫正的费用带来差异。还有就是选择的医院不同,医生技术不同,给出的不同方案以及采用不同的矫正器也会让价格的波动幅度变的很大,价格从几千到几万的都有!患者要想知道矫正的具体价格,可以通过点击在线咨询,根据自己的自身情况免费向口腔专家进行询问。
无托槽隐形矫正的五大优势:
1、舒适:由于没有传统意义上的托槽、钢丝等矫正装置,矫正过程不再痛苦。对牙周组织的刺激及不适感最低。
2、美观:几乎完全隐形。您将在别人毫无察觉中完成牙齿矫正,解决了许多患者对矫正牙齿的美观顾虑。
3、清洁:口腔卫生容易维护,不必担心牙龈出血、牙齿脱矿、变色等问题。推荐阅读<<<<<郑州牙齿正畸医院
4、方便:可自行摘戴,不影响社交、进食、运动等。同时复诊次数减少,节约您的宝贵时间。
5、便捷:短而有效的治疗疗程。传统方法治疗时间约8小时,隐形正畸仅为3小时。
郑州最好的牙科医院郑州唯美口腔医院是省市区医保定点医疗机构,是中国口腔前领着、健康 中国诚信医院,牙齿美容特色医院。为数以万计中外朋友提供高质量医疗服 务,不仅注重对医学技术精益求精,而且注重在医疗服务中充分体现人文关怀精神 ,树立以患者为中心的服务理念。望广大患者放心就诊。

就诊指南
预约挂号
医院专家
在线咨询