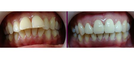
做牙齿矫正好不好
做牙齿矫正好不好,解决牙齿不齐的问题,很多消费者首先就会想到的就是牙齿矫正。牙齿矫正作为牙齿不齐的克星,曾经为众多的消费者解决了口腔中的尴尬。那么很多人问做牙齿矫正好不好,那么下面我们就一起去了解一下吧。

做牙齿矫正好不好
矫正牙齿需要多少钱郑州唯美口腔专家介绍,牙齿矫正对比现在解决牙齿不齐的问题的其他方法,如烤瓷牙来讲,很多方面都凸显出自身的劣势,这里主要讲解其中的两点。一是时间过长,牙齿矫正需要2~3年的治疗时间,而烤瓷牙仅需7~15天即可完成。二是治疗期间美观问题,牙齿矫正治疗期间,消费者不得不忍受铁齿钢牙的形象,而烤瓷牙治疗消费者则不需要面对这些。三是治疗效果,牙齿矫正对于严重的牙齿畸形和年纪较大的牙齿矫正消费者的疗效并不十分理想,烤瓷牙则能够带来完美的效果。推荐阅读<<<<牙齿矫正需多少钱
郑州唯美口腔专家介绍,随着牙科整形技术的不断发展,而今针对成人牙齿矫正的情况我们可以通过美齿冠的方法来进行改善的。针对美齿冠牙齿矫正方法只需要满足是18岁以上,无严重的疾病等,这都是可以接受美齿冠牙齿美容方法的,而且通过做美齿冠牙齿只需要短短的7天就能让牙齿变得你想要的那么美观度,所谓的完美也就唾手可得了。
郑州最好的牙科医院郑州唯美口腔严格的消毒隔离制度,“四手”操作服务,即使是口腔治疗中最基础的洁牙护理,也是由国外诊所受过专业系统训练的齿科卫士为您提供服务。诊所的诊疗内容涵盖了普通齿科、小儿齿科、矫正齿科、种植牙科以及美容牙科等全方位的专业口腔医疗项目,并提供多语种服务。唯美口腔以先进的医疗设备,高水准的医疗技术,严格的消毒程序,舒适的诊疗环境为每一位就诊患者提供优质的口腔医疗服务。

就诊指南
预约挂号
医院专家
在线咨询