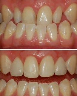
儿童牙齿矫正应该怎么办
儿童牙齿矫正应该怎么办,目前的孩子食物普遍含糖量高且过于精细,容易诱发乳牙的龋 齿和早失,如果治疗不及时就会造成牙齿替换的障碍,产生拥挤错位。所以就需要进行牙 齿矫正了,但是大家关心儿童牙齿矫正应该怎么办,那么下面我们就一起去了解一下吧。

儿童牙齿矫正应该怎么办
矫正牙齿需要多少钱郑州唯美口腔专家介绍,在从猿到人的进化过程中,由于人类文明程度的提高,饮食结构 由粗糙到精细,人类的咀嚼器官在不断退化。但牙齿、骨骼和肌肉的退化却是不平衡的, 其中牙齿的退化最慢,所以现代人较小的颌骨要承载与我们的祖先一样数量的牙齿,牙齿 就容易产生拥挤不齐。
小孩子换牙时期除了以下情况外,一般不需要做矫正。推荐阅读<<<什么样的牙齿需要做牙齿矫正
(1) 严重的上颌骨或下颌骨骨骼畸形,如表现为前牙过分前突,嘴唇前突即兜齿
(2) 不良习惯严重影响牙颌发育。如咬下唇习惯,吃手指习惯,口呼吸习惯,吐舌习惯。
(3) 个别牙严重错位,如扭转牙;个别牙反合(上牙咬在下牙的里面)。
在换牙的时候还会出现一些暂时性的错合,这些情况包括:轻度拥挤,门牙间有缝隙,咬 合深。家长们看到这些情况,请不必担心。随着孩子的逐渐生长,这些错合会逐渐消失或 缓解,所以没有必要进行矫治。
郑州唯美口腔医院是医保定点医疗机构,为众多中外朋友提供高质量医疗服务,不仅注重对医学技术精益求精,而且注重在医疗服务中充分体现人文关怀精神,树立以患者为中心的服务理念。牙齿问题就到唯美口腔医院。

就诊指南
预约挂号
医院专家
在线咨询