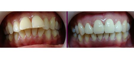
箍牙一般要多少钱
箍牙一般要多少钱,随着牙齿矫正越来越受到关注和欢迎,很多朋友都想通过箍牙齿来使 自己拥有整齐亮丽的牙齿,箍牙齿的价格一直是人们很关心的话题,那么箍牙一般要多少 钱,那么下面我们就一起去了解一下吧。

箍牙一般要多少钱
矫正牙齿需要多少钱郑州唯美口腔专家介绍,它和顾客自身牙齿情况、顾客年龄、顾客选用的矫正方式等相关 ,具体情况要具体分析,只有看到顾客具体牙齿情况和制定了相关牙齿矫正方案之后才能 得出准确价格,有些小门诊打出低价的幌子吸引顾客,等顾客到院检查后,费用又多出很 多,因而要警惕低价陷阱!
牙齿矫正价格会受到很多方面的因素影响,因此没有一个固定的准确数目,具体的看看 郑州唯美口腔的介绍吧!
1、与就诊的医疗机构有关:一般正规的牙科医疗机构和品牌口腔医疗机构做牙齿矫 正的价格都比较适中的。推荐阅读<<<<什么样的牙齿需要做牙齿矫正
2、与所选专家有关:每个医生的等级、专业度等不同,从而做手术的价格也会不同 ,那么牙齿矫正要多少钱也会不同。
3、与所处的地区有关:不同地区做牙齿矫正要多少钱肯定是不同的,经济较为发达 的地方,做牙齿矫正的价格就会高一些,而有些地区做牙齿矫正的价格,就普遍比较便宜 。
4、个人情况有关:牙齿矫正多少钱这方面还要看每个人的情况不同来决定,因为每 个人牙齿的畸形程度,以及选择的治疗方法会影响到牙齿的价格方面。所以价格我们不能 一概而论。
郑州唯美口腔环境优雅,舒适宜人。人性化设计的候诊休息区解决了您等候的烦恼。可以随意阅读时尚杂志,也可以精心欣赏亲切的背景音乐。处于一个放松自己的心情。在郑州唯美口腔看牙,让您得到更私密安心的治疗服务,唯美口腔让您在不知不觉中拥有美丽笑容!

就诊指南
预约挂号
医院专家
在线咨询