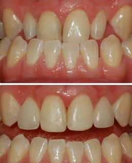
牙齿矫正最好的医院
牙齿矫正最好的医院,很多小朋友牙齿不齐,多数为吮指习惯、舌习惯、咬 唇习惯、咬物习惯、伸下颌习惯、不良吞咽习惯、偏侧咀嚼习惯等,可以引 起各种各样的错牙合。所以很多人就要去进行牙齿矫正,那么牙齿矫正最好 的医院,下面我们就去了解一下吧。

牙齿矫正最好的医院
牙齿矫正最佳年龄,牙齿矫正最好的医院,郑州唯美口腔专家介绍,牙齿畸形可能会有许多不同 的治疗方法,也许那些 更复杂、费用更高的治疗对他来说效果可能更好一些 。但是客户由于经济方面或时间方面等的原因,暂时无法接受昂贵的治疗, 我们也会根据具体情况,为患者设计出符合需求的治疗方案; 让每个患者都 能进行治疗。
牙齿矫正最好的医院
针对牙齿矫正最好的医院这个问题目前来说也只有郑州唯美口腔医院了,唯 美口腔医院采用国际先进的医疗管理模式和牙齿矫正技术,建立了制度化的 医疗质量管理和监督体系。创新分区诊疗模式:郑州唯美口腔均设立了医疗 区、休闲区、VIP专区,使其模式系统化、标准化。推荐阅读<<<<自锁托槽矫治要多少钱
郑州牙科医院,郑州唯美口腔坚持以“办世界最好的口腔美容医院”为己任,积极开展与国 际著名口腔机构以及国际权威专家的技术交流与合作。集纳了包括美国、德 国、法国、比利时等欧美地区以及韩国、日本、中国台湾等亚洲地区的口腔 领域的专家团队,理论及临床实际经验丰富,对口腔疾病能做出正确的诊断 和有效的治疗。

就诊指南
预约挂号
医院专家
在线咨询