郑州矫正牙齿最权威医院
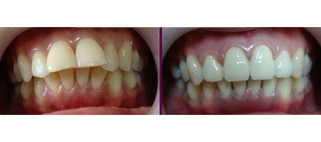
郑州矫正牙齿最权威医院,地包天是牙齿畸形的一种,是指上、下牙齿闭合 时,下牙突出于上牙前面而造成的口腔颌面畸形。在医学上也把地包天称为 兜齿或前牙反牙合。如果你的牙齿有了地包天,不仅仅是形象方面的打折, 更是工作上的绊脚石,那么很多人想问,郑州矫正牙齿最权威医院,下面我 们就去了解一下吧。

郑州矫正牙齿最权威医院
牙齿矫正最佳年龄,首选郑州唯美口腔医院,专家介绍专家确立矫治方案后,通过计算机软件模 拟矫正过程,采用进口弹性透明医用高分子材料为每一个过程制作一个矫治 器,整个矫治过程就是通过换用这一系列矫治器实现矫治目的。戴用时,牙 齿会有受力的感觉,向矫治器预设位置移动。每两周更换一副矫治器,牙齿 就会从初始的畸形状态逐渐移动至正常排列状态,从而达到矫治效果。
郑州矫正牙齿最权威医院
郑州唯美口腔拥有一系列与国际潮流接轨的高科技设备,如即刻种植修复系 统、1小时德国西诺德CAD/CAM3D齿雕全瓷修复系统、靶向无形正畸系统、四 维美牙系统、深蓝冷光美白系统、芬兰普兰梅卡(Planmeca)三维口腔检测CT 等,每一项技术都是目前国际上最顶尖的,其手术室是中原首家国际标准口 腔手术室营运基地,全程无菌可视化操作。并由多位国际知名牙科专家亲诊 ,为每一例案例的成功实施奠定基础,安全放心有保障。推荐阅读<<<<牙齿矫正用什么方法好呢
郑州牙科医院排名,找牙齿矫正最权威的医院,就到郑州唯美口腔医院,郑州唯美口腔坚持以“ 办世界最好的口腔美容医院”为己任,积极开展与国际著名口腔机构以及国 际权威专家的技术交流与合作。集纳了包括美国、德国、法国、比利时等欧 美地区以及韩国、日本、中国台湾等亚洲地区的口腔领域的专家团队,理论 及临床实际经验丰富,对口腔疾病能做出正确的诊断和有效的治疗。

就诊指南
预约挂号
医院专家
在线咨询