牙套保持器要带多久
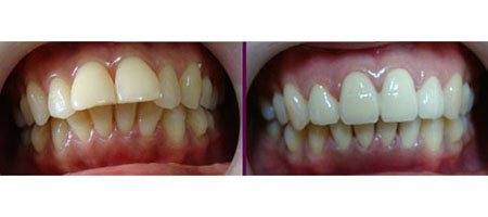
牙套保持器要带多久,现在不少人做牙齿矫正,牙齿矫正会改变脸型,所 以不论中度还是轻度牙齿不齐很多人选择做矫正,那么很多人都知道牙齿矫 正后需要带保持器那么他们想问,牙套保持器要带多久,下面我们就一起去 了解一下吧。

牙套保持器要带多久
牙齿矫正的最佳年龄,牙套保持器要带多久,郑州唯美口腔专家介绍,在矫正完牙齿,取下矫治器 后,因为牙齿在新的位置上还不稳定,往往还要戴上保持器,来保持牙齿在 牙槽骨上的新的位置,等待牙槽骨的改建。一般两年左右,也因人而异,有 的病人保持所需要的时间短一些,而对于有些极易复发病例,如牙齿严重扭 转,牙齿间隙,则需要更长的保持期,甚至终身保持。
哪种保持器最好
目前大家熟知的透明保持器,其因为膜的厚度不同,其实功能相对也不同, 建议选择厚度至少在1.2mm以上的硬质塑料,其制作相当简单,立等可取是其 的一个优势,不想活动保持器需要等一周后才可佩戴,可以及时巩固正畸效 果。但其保持能力要远远逊于活动保持器,经常有患者反馈正畸效果反弹, 当然正畸的反弹和正畸矫治过程中的施力过猛不无关系。推荐阅读>>>>>郑州牙齿矫正哪个医院好
郑州牙科医院排名,郑州唯美口腔开创全透明消毒中心,实现一人一机每位患者都使用经严格消 毒的牙钻,做到“一医一助一室一机一盘一针一消毒”,严格遵循美国齿科 协会ADA的标准,真正实现了为患者提供安全无痛、无交叉感染的放心诊疗服 务。

就诊指南
预约挂号
医院专家
在线咨询