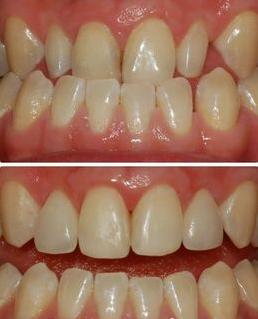
龅牙可以整形吗
龅牙可以整形吗,龅牙是儿童在生长发育过程中,由先天的遗传因素或后天的环境因素造成的牙齿、颔骨、颅面的畸形。龅牙患者可通过正畸治疗得以改善牙齿前突的症状,那么很多人关心龅牙可以整形吗,下面我们就去了解一下吧。

龅牙可以整形吗
牙齿不整齐要怎么办郑州唯美口腔医院专家介绍,相对于传统牙颌畸形矫正器而言,隐形矫正技术,不需要托槽和钢丝,采用的是一系列隐形矫治器,该隐形矫治器由安全的弹性透明高分子材料制成,使矫治过程几乎在旁人无察觉中完成,不影响日常生活和社交。隐形矫正由于其不需要钢丝、不影响美观等突出优点而广受矫正者青睐,隐形矫治技术继承了传统的牙颌畸形矫治理念,是现代口腔医学、计算机辅助三维诊断、个性化设计及数字化成型技术的完美结合。
龅牙矫正需要多久的时间?
正畸矫正器上:牙齿正畸包括钢丝牙套和隐形牙套,都是借助矫正器的力量来让牙齿恢复到正常位置,来达到牙齿矫正目的。传统的矫正钢牙牙套是需要两年左右的时间,而无托槽隐形矫正则只需要半年到一年左右的时间,并且,隐形矫正只需半年复诊一次,且隐形矫正可自行摘戴,方便清洁,这一点是传统托槽矫正达不到的。正畸矫正年龄上:儿童一般1年半左右的时间,而成人则需2年左右的时间,而且牙齿正畸戴完矫正器后,还需带一段时间保持器来确保效果。推荐阅读<<<<郑州牙齿不齐怎么矫正
郑州牙科医院排名郑州唯美口腔环境优雅,舒适宜人。人性化设计的候诊休息区解决了您等候的烦恼。可以随意阅读时尚杂志,也可以精心欣赏亲切的背景音乐。处于一个放松自己的心情。在郑州唯美口腔看牙,让您得到更私密安心的治疗服务,唯美口腔让您在不知不觉中拥有美丽笑容!

就诊指南
预约挂号
医院专家
在线咨询