牙齿矫正一般多少钱
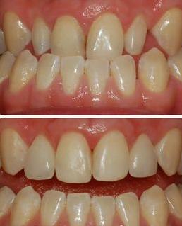
牙齿矫正一般多少钱,牙齿矫正专家指出,牙齿矫正是通过正畸或外科手术的方式将错颌畸形的牙齿变得整齐,正畸矫正通过给牙齿戴上矫正器,对牙齿慢慢加力移动使其排列整齐。那么牙齿矫正一般多少钱,下面我们就去了解一下吧。

牙齿矫正一般多少钱
牙列不齐要怎么矫正郑州唯美口腔专家介绍,牙齿矫正专家指出,不管成年人还是儿童都可以进行矫正不分年龄。地包天矫正的最佳时间是在3岁--5岁之间,此时地包天的矫正难度最低。并且,由于不良哺乳姿势等而引起下颌功能性过度前伸造成的地包天,称之为假性地包天,如不及早矫治,日久可能发展成真性地包天。专家表示,不管成年牙齿不齐还是儿童牙齿不齐,越早矫正效果越好,最佳的矫正年龄是在11岁--15岁之间。
牙齿矫正一般多少钱
1.与选择的医院有关:如果选择的是正规的大型医院,那么美牙费用要相对高一些,在医疗器械以及品质服务方面都有百分百的保证。推荐阅读<<<<郑州牙齿不齐怎么矫正
2.与选择的医生有关:如果在牙齿矫正的时候选择专业、有经验的医生,那么需要付更高的费用才可以hold住。因为牙齿矫正效果受医生影响很大,因此还是要找有经验的医生来进行矫正。
3.与地区经济有关:如果你所在矫正牙齿的地区经济比较发达,各方面的消费成本都比二线三线以及小城市消费成本高,例如无托槽隐形矫正的费用肯定是要比一般的地区高。
郑州最好的牙科医院郑州唯美口腔环境优雅,舒适宜人。人性化设计的候诊休息区解决了您等候的烦恼。可以随意阅读时尚杂志,也可以精心欣赏亲切的背景音乐。处于一个放松自己的心情。在郑州唯美口腔看牙,让您得到更私密安心的治疗服务,唯美口腔让您在不知不觉中拥有美丽笑容!

就诊指南
预约挂号
医院专家
在线咨询