郑州牙齿矫正哪里有优惠
郑州牙齿矫正哪里有优惠,现在小孩很多因为各种不良习惯造成的牙齿不齐情况很多,那么就需要进行牙齿矫正了,现在牙齿矫正的医院很多,大家也会看到各种各样的优惠,那么郑州牙齿矫正哪里有优惠,下面我们就去了解一下吧。

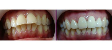
郑州牙齿矫正哪里有优惠
牙列不整齐要如何矫正郑州唯美口腔专家介绍,为了能为更多患者提供好的服务,牙齿矫正项目全部8.8折,现在最好的矫正方法当属隐形矫正,该隐形矫治器由安全的弹性透明高分子材料制成,使矫治过程几乎在旁人无察觉中完成,不影响日常生活和社交。同时,没有了粘结托槽、调整弓丝的繁琐,临床操作大大简化,整个矫治过程省时又省力。
专家指出:牙齿矫正的方法并不只局限一种中,患者可以通过和医生交流,选择最适合自己的牙齿矫正方法,通过自己和医生的共同努力,才能达到最好的矫正效果。并且专家建议矫正是一个很复杂的过程,最好选择专业正规的口腔医院进行矫正。才能确保我们的身体健康。推荐阅读<<<<<郑州牙齿矫正那家好
郑州牙科医院排名郑州唯美口腔严格的消毒隔离制度,“四手”操作服务,即使是口腔治疗中最基础的洁牙护理,也是由国外诊所受过专业系统训练的齿科卫士为您提供服务。诊所的诊疗内容涵盖了普通齿科、小儿齿科、矫正齿科、种植牙科以及美容牙科等全方位的专业口腔医疗项目,并提供多语种服务。唯美口腔以先进的医疗设备,高水准的医疗技术,严格的消毒程序,舒适的诊疗环境为每一位就诊患者提供优质的口腔医疗服务。

就诊指南
预约挂号
医院专家
在线咨询