郑州做隐形牙齿矫正多少钱
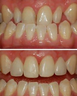
郑州做隐形牙齿矫正多少钱,现在做牙齿矫正的患者很多,隐形矫正是现在很受大家欢迎的牙齿矫正方式,隐形正畸是国际口腔正畸学领域中的一项高新科技技术。隐形矫正虽然效果好,优点突出,目前主要使用在轻中度牙齿畸形。那么郑州做隐形牙齿矫正多少钱,下面我们就去了解一下吧。

郑州做隐形牙齿矫正多少钱
牙齿不整齐要如何矫正郑州唯美口腔专家介绍,隐形无托槽矫正技术,是根据每个人的实际情况,通过计算机辅助三维诊断、设计和制造系统,用一系列个性化的透明矫治器,来完成矫治的牙齿矫正技术,具有美观、定位精准、清洁方便等优点。那么郑州隐形牙齿矫正多少钱,下面唯美口腔专家就为大家介绍一下隐形牙齿矫正价格有哪些因素决定。
隐形矫正价格----哪些因素决定
1、受患者牙齿畸形程度影响。由于每个患者牙齿畸形程度不同,矫正时间长短以及难易程度都是不一样的,所以个人畸形程度难易也是影响到牙齿矫正的价格。
2、受患者矫正方式影响。现如今矫正牙齿的方式越来越多,选择什么样的方式是决定矫正牙齿价格高低的重要因素,如普通牙套矫正,隐形矫正,烤瓷牙矫正等等。
3、受就医地区的影响。每个城市消费水平的不同,矫正牙齿价格也是不一样的,一线城市相对来说要比二线要高一些,因此地域不同其价格会有些落差。
4、受选择医院的影响。即使在同一城市,由于选择不同级别的医院,医师技术水平,医疗设备以及医疗环境都是不一样的,如果选小诊所虽然价格比较低,但是矫正的效果和价格成正比,还会因为医师能力有效,导致牙齿松动,牙龈萎缩等并发症,因此选择矫正医院是很关键的。推荐阅读<<<<郑州牙齿矫正医院那家好
郑州牙科医院排名郑州唯美口腔医院是省市区医保定点医疗机构,是中国口腔医学重点、健康中国诚信医院,牙齿美容特色医院。为数以万计中外朋友提供高质量医疗服务,不仅注重对医学技术精益求精,而且注重在医疗服务中充分体现人文关怀精神,树立以患者为中心的服务理念。广大患者可放心就诊。

就诊指南
预约挂号
医院专家
在线咨询