戴保持器的注意事项
戴保持器的注意事项?牙齿矫正过后,很多时候需要戴保持器做恢复,这样避免矫正的反弹,那么,戴保持器会有一些什么需要注意的问题。
牙齿矫正后,需要戴保持器,关于牙齿保持器的注意事项,唯美口腔专家介绍如下:
1、在摘掉托槽后2年都要戴保持器,开始半年最好全天戴,这半年过后晚上可以戴也可不戴。
2、如果下颌保持器非常不舒服,可以把下前牙六颗做舌侧固定保持器,上颌要坚持戴活动的保持器。
3、成年人戴保持器,由于骨的重建速度减慢,保持器对于做过正畸的成年患者是最好的保持成果的法宝,因此成年人不能随意停止佩戴。
4、可能为你做治疗的医生没有很强调保持器的作用,但是一定要重视.去任何地方都要带着你的保持器。
5、如果松了,或者丢了,就重新做一个,这个很有必要。了解更多牙齿矫正,点击在线咨询,直接与专家相互交流!
6、如果紧了,那么就是提示你,牙齿可能有点恢复原来的趋势了,矫正好的牙齿反弹了,这时赶紧联系你的医生。
中韩国际·唯美口腔牙齿矫正技术推荐
韩式四维隐形正畸技术是完全个性化的设计理念,可根据正畸者的情况佩带不同的矫治器,完全不影响正畸者的生活。具有隐形高效,稳定美观的特点,并且大大地缩短了疗程,使治疗时间缩短近三分之一,复诊时间缩短二分之一,为正畸者大大节省了时间,透明韩式四维隐形正畸矫正矫治器厚度不到1mm,透明、光滑、舒适,无异物感和粘膜刺激,是目前最受欢迎和信赖的美齿项目。推荐阅读:韩式隐形正畸
中韩国际·唯美口腔牙齿矫正专家推荐

李玉如,口腔正畸科。副教授,副主任医师,硕士生导师,口腔医学正畸专业硕士。1991年毕业于中山医科大学口腔系,一直从事口腔正畸的临床、教学和科研工作,临床经验丰富,并注重知识的学习更新,2004年硕士学位毕业。擅长正畸科各类牙颌畸形及疑难病例的矫治,对青少年反牙合、开牙合、功能性矫治、阻生牙的导萌牵引及成年人牙颌畸形、牙周病的正畸治疗有良好的疗效。点击在线咨询,了解牙齿矫正的优惠信息!在线预约可享更多优惠!
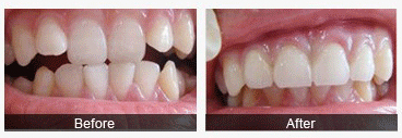
中韩国际·唯美口腔牙齿矫正前后对比图

郑州牙科医院排名最好的温馨提示:如果您对口腔方面还有其他疑问,可直接向我们中韩国际·唯美口腔医院的在线专家免费咨询!专家届时会针对您的问题,给出专门个人的诊疗方案。

就诊指南
预约挂号
医院专家
在线咨询