郑州牙齿矫正哪家医院最好
郑州牙齿矫正哪家医院最好?人们对美的不断追求,对市场的发展也有影响,各种美容美白机构应运而生,做牙齿矫正的医疗机构也不少,在郑州哪家医疗机构最好最靠谱呢,患者往往很难选择。那么,郑州牙齿矫正哪家医院最好?
在郑州,做牙齿矫正的医疗机构很多,鱼龙混杂,效果好坏都有,最值得信赖的还是中韩国际·唯美口腔医院。其优势有以下几点:
一、先进的技术
中韩国际·唯美口腔正畸中心,紧跟时代发展,大量引进国内外先进的各种矫治新方法、新材料、新仪器设备,推广和发展现今最先进的矫治技术直丝弓矫治技术、无托槽隐形矫治技术、自锁托槽矫治技术、微种植体支抗等多项正畸技术,为矫正成功提供充分保障。
二、优秀的专家
中韩国际·唯美口腔正畸中心拥有梯队合理、经验丰富的正畸专科医护队伍,注重提高与提高,每年均有多名医生参加国内知名专家尤其是口腔正畸专家的培训、讲座以及学术交流,与时俱进提高完善自己的正畸技术和水平,为患者提供更加舒适的矫正体验;常年聘请口腔正畸科教授、主任医师、博士生导师赵教授等多名国内知名正畸专家学者作为技术顾问,充分保证矫正成功率,使矫正效果更加突出。了解更多医院信息,点击在线咨询,直接与专家相互沟通!
三、完美的效果
中韩国际·唯美口腔处处“以顾客为中心”,时时“想顾客之所想,急顾客之所急”,为使矫正效果更加完美。正畸科与其它科室密切合作,从整体出发,共同制定矫正方案,让牙齿、唇线、脸型协调改变、美丽自然呈现;广泛开展正颌-正畸联合治疗、唇腭裂序列治疗、牙周病矫治、替牙期阻断矫治、正畸-修复联合矫治等特色专科门诊,为广大儿童和成年错颌畸形患者提供了优质服务,取得了良好的治疗效果。
中韩国际·唯美口腔牙齿矫正技术推荐
韩式四维隐形正畸由权威专家坐诊,实现全程无痛无创快速疗法,专门治疗各种牙齿排列不整齐,咬合错位等牙齿形态问题,还你一口整齐、坚固耐用的健康原牙。推荐阅读:韩式隐形正畸
中韩国际·唯美口腔牙齿矫正专家推荐

李玉如,口腔正畸科。副教授,副主任医师,硕士生导师,口腔医学正畸专业硕士。1991年毕业于中山医科大学口腔系,一直从事口腔正畸的临床、教学和科研工作,临床经验丰富,并注重知识的学习更新,2004年硕士学位毕业。擅长正畸科各类牙颌畸形及疑难病例的矫治,对青少年反牙合、开牙合、功能性矫治、阻生牙的导萌牵引及成年人牙颌畸形、牙周病的正畸治疗有良好的疗效。点击在线咨询,了解牙齿矫正的优惠信息!在线预约可享更多优惠!
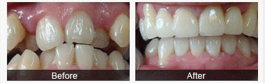
中韩国际·唯美口腔牙齿矫正前后对比图

温馨提示:中韩国际·唯美口腔是一家正规、专业的高端口腔医院,具有先进一流的诊疗设备,专业权威的资深医生,实施无痛治疗,满足患者要求,以服务顾客为第一。更多疑问敬请咨询中韩国际·唯美口腔医院的在线专家,亦或直接预约来院让专家现场诊断。

就诊指南
预约挂号
医院专家
在线咨询