牙齿矫正有哪些事情需要注意
牙齿矫正有哪些事情需要注意?牙齿是消化系统的最前端,咀嚼食物的不彻底就会给消化造成压力,进而影响身体的健康,因此,牙齿拥挤不齐一定要及时去口腔医院进行矫正,以免对身体造成更严重的伤害。那么牙齿矫正有哪些事情需要注意?
牙齿矫正对牙齿排列的纠正,牙齿矫正过程需要注意一些事情,治疗过程的顺利进行,下面由专家给我们介绍下平时的注意情况:
第一:固定矫正器是通过特殊材料粘结在牙齿上的,其中两到五天里,牙齿可能因受力而感到酸痛。口腔粘膜也可能被矫治器擦伤,但这些都是能忍受和预防的,而且一个星期后会自动消失,一般不需要吃药,以后每次复诊后患者也许会感觉牙齿发紧、疼痛,但很轻微,相反,剧烈疼痛则是不正常的。
第二:装上牙齿矫正器後,必须加倍注意口腔卫生,否则容易患上蛀牙和牙周病。戴上矫治器后能刷牙,而且要更仔细,一定要注意口腔卫生、正确的刷牙方法。如果配戴活动牙齿矫正器,每天早上、睡前必须清洗牙齿矫正器及彻底清洁牙齿,然後再戴上。如果不配戴时,必须将牙齿矫正器放在清水中。
第三:牙齿矫正不会影响吃饭。但吃的方面需要注意,太硬、太粘的食物会将矫治器损坏或致其脱落,从而影响治疗效果。了解更多牙齿矫正,点击在线咨询,直接与专家相互交流,在线预约享受更多优惠活动!
中韩国际·唯美口腔牙齿矫正技术推荐
韩式四维隐形正畸技术是完全个性化的设计理念,可根据正畸者的情况佩带不同的矫治器,完全不影响正畸者的生活。具有隐形高效,稳定美观的特点,并且大大地缩短了疗程,使治疗时间缩短近三分之一,复诊时间缩短二分之一,为正畸者大大节省了时间,透明韩式四维隐形正畸矫正矫治器厚度不到1mm,透明、光滑、舒适,无异物感和粘膜刺激,是目前最受欢迎和信赖的美齿项目。推荐阅读:韩式隐形正畸
中韩国际·唯美口腔牙齿矫正专家推荐

李玉如,口腔正畸科。副教授,副主任医师,硕士生导师,口腔医学正畸专业硕士。1991年毕业于中山医科大学口腔系,一直从事口腔正畸的临床、教学和科研工作,临床经验丰富,并注重知识的学习更新,2004年硕士学位毕业。擅长正畸科各类牙颌畸形及疑难病例的矫治,对青少年反牙合、开牙合、功能性矫治、阻生牙的导萌牵引及成年人牙颌畸形、牙周病的正畸治疗有良好的疗效。点击在线咨询,了解牙齿矫正的优惠信息!在线预约可享更多优惠!
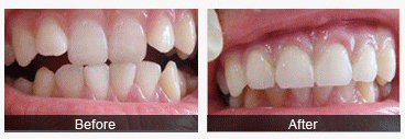
中韩国际·唯美口腔牙齿矫正前后对比图

温馨提示:如果您对口腔方面还有其他疑问,可直接向我们中韩国际·唯美口腔医院的在线专家免费咨询!专家届时会针对您的问题,给出专门个人的诊疗方案。欢迎点击在线咨询。

就诊指南
预约挂号
医院专家
在线咨询