牙齿矫正后牙有哪些好处
身体健康是人们最关心的问题,为此不惜大把大把的砸钱,但是往往对牙齿口腔健康不很在意,事实上牙齿疾病也会给人体的健康造产成潜在的威胁,特别是牙齿不齐导致饮食不消化,牙齿矫正是修复牙齿不齐的重要方法,那么牙齿矫正后牙有哪些好处?
牙齿矫正后有哪些好处?做牙齿矫正手术,一定要到正规、专业的口腔医疗机构,这样才更有保障。牙齿矫正后有以下几点好处:
1.牙齿矫正后脸型变好看,以前下巴方方的,类似国字型。现在已经变瓜子脸了。
2.牙齿矫正后牙齿变整齐了,会笑得更自然,自信心会有提高,这是最重要的。了解牙齿矫正,点击在线咨询,直接与专家一对一交流,详细咨询!
3.牙齿矫正后侧面会更有型。如果从鼻尖拉一条线到下巴,这根线不碰到嘴唇,那就是完美的侧影了。虽然牙齿矫正做不到这样,但至少可以让你突起的嘴唇缩进去,而鼻子会显得挺拔许多。
中韩国际·唯美口腔牙齿矫正技术推荐
韩式四维隐形正畸技术是完全个性化的设计理念,可根据正畸者的情况佩带不同的矫治器,完全不影响正畸者的生活。具有隐形高效,稳定美观的特点,并且大大地缩短了疗程,使治疗时间缩短近三分之一,复诊时间缩短二分之一,为正畸者大大节省了时间,透明韩式四维隐形正畸矫正矫治器厚度不到1mm,透明、光滑、舒适,无异物感和粘膜刺激,是目前最受欢迎和信赖的美齿项目。推荐阅读:韩式隐形正畸
中韩国际·唯美口腔牙齿矫正专家推荐

李玉如,口腔正畸科。副教授,副主任医师,硕士生导师,口腔医学正畸专业硕士。1991年毕业于中山医科大学口腔系,一直从事口腔正畸的临床、教学和科研工作,临床经验丰富,并注重知识的学习更新,2004年硕士学位毕业。擅长正畸科各类牙颌畸形及疑难病例的矫治,对青少年反牙合、开牙合、功能性矫治、阻生牙的导萌牵引及成年人牙颌畸形、牙周病的正畸治疗有良好的疗效。点击在线咨询,了解牙齿矫正的优惠信息!在线预约可享更多优惠!
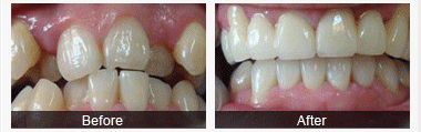
中韩国际·唯美口腔牙齿矫正前后对比图

温馨提示:牙齿不齐一定要及时去矫正,不然会给口腔造成更大的危害。如果您对口腔方面还有其他疑问,可直接向我们中韩国际·唯美口腔医院的在线专家免费咨询!专家届时会针对您的问题,给出专门个人的诊疗方案。欢迎点击在线咨询。

就诊指南
预约挂号
医院专家
在线咨询