矫正牙齿需要多少价位
身体是革命的本钱,健康是身体的最低要求,身体健康不仅仅指那些关系我们的生死的器官,牙齿口腔健康也是我们应该关心的,牙齿拥挤不齐给我们的饮食消化带来严重的影响,牙齿不齐就要及时去口腔医院做矫正,那么矫正牙齿需要多少价位?
矫正牙齿需要多少价位?牙齿不齐主要是生长发育过程中,种种原因导致的牙齿、颌骨、颅面的畸形,需要及时矫正,不然容易产生牙龈炎等疾病,威胁身心健康,矫正牙齿的价位怎么定?
第一、患者所处地区:由于我国每个地区之间的发展状况是不同的,有的地区比较发达,而有的地区又相对落后,所以各个地区之间的消费观也是有一定差异的,那在不同的地区进行矫正牙齿的价格当然就会不同了。
第二、患者口腔情况:很多情况下每个患者的牙齿情况都是不同的,牙齿畸形的程度有时也是有很大差异的,这就导致了矫正牙齿难易程度的差别,那矫正牙齿多少钱也就不一样了。了解牙齿矫正,点击在线咨询,直接与专家一对一交流,详细咨询!
第三、矫正牙材料:隐形矫正牙齿的材料也是可以有很多种选择的,患者可以根据自身的牙齿情况以及经济情况作出最适合自己的选择,患者所用的隐形整牙材料,效果也会有一定的区别,那矫正牙齿的收费标准也不能是同一个了。
第四、患者选择的医院:其实这一点对矫正牙齿价格的影响还是蛮大的,正规专业的牙科医院由于投入的软硬件设施都是比较先进的,在成本上是会有所增加的矫正牙齿的价格当然也会比一般小诊所来的贵。
中韩国际·唯美口腔牙齿矫正技术推荐
韩式四维隐形正畸技术是完全个性化的设计理念,可根据正畸者的情况佩带不同的矫治器,完全不影响正畸者的生活。具有隐形高效,稳定美观的特点,并且大大地缩短了疗程,使治疗时间缩短近三分之一,复诊时间缩短二分之一,为正畸者大大节省了时间,透明韩式四维隐形正畸矫正矫治器厚度不到1mm,透明、光滑、舒适,无异物感和粘膜刺激,是目前最受欢迎和信赖的美齿项目。推荐阅读:韩式隐形正畸
中韩国际·唯美口腔牙齿矫正专家推荐

李玉如,口腔正畸科。副教授,副主任医师,硕士生导师,口腔医学正畸专业硕士。1991年毕业于中山医科大学口腔系,一直从事口腔正畸的临床、教学和科研工作,临床经验丰富,并注重知识的学习更新,2004年硕士学位毕业。擅长正畸科各类牙颌畸形及疑难病例的矫治,对青少年反牙合、开牙合、功能性矫治、阻生牙的导萌牵引及成年人牙颌畸形、牙周病的正畸治疗有良好的疗效。点击在线咨询,了解牙齿矫正的优惠信息!在线预约可享更多优惠!
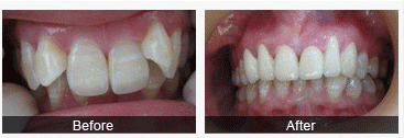
中韩国际·唯美口腔牙齿矫正前后对比图

温馨提示:做牙齿矫正手术,一定要到正规、专业的口腔医疗机构,这样才更有保障。如果您有更多未解决的疑问,可点击中韩国际·唯美口腔的在线咨询,给您详细的解答。想要整齐美观的牙齿,重拾美好记忆,中韩国际·唯美口腔是您最好的选择。

就诊指南
预约挂号
医院专家
在线咨询