哪些不良习惯会影响矫正效果
牙齿矫正是需要很长的护理期,慢慢恢复牙齿的外形结构,因此需要在恢复期内注意保护工作,青少年的自觉性不高,容易粗心大意,因此需要家长经常监督孩子,避免一些不良习惯造成牙齿矫正失败。那么做完矫正手术之后,哪些不良习惯会影响矫正效果?
牙齿矫正一定要选择一家好的专业的口腔医院,根据患者实际情况进行手术,并提醒术后注意事项,特别是青少年,唯美口腔专家提醒孩子应该注意以下习惯对矫正效果的影响:
1、不良的咬下唇习惯影响牙齿矫正:可造成上前牙唇向倾斜并出现牙间间隙,下前牙舌侧倾斜而且拥挤,颜面表现为开唇露齿、上前牙前突和下前牙后缩等;而咬上唇习惯易形成下颌前突,前牙反牙合(地包天)等畸形。
2、不良的吐舌习惯影响牙齿矫正:可形成前牙部分开牙合;舔舌习惯可使前牙向唇侧倾斜,并出现间隙;伸舌习惯易造成前牙开牙合与下颌前突畸形。
3、吸吮手指习惯影响牙齿矫正:导致开牙合畸形以及牙弓狭窄、腭盖高拱、上前牙前突、开唇露齿及远中错牙合等畸形,手指上也可出现胼胝及指弯曲。
4、咬物习惯影响牙齿矫正:可在牙弓特定部位形成小开牙合。了解更多牙齿矫正,点击在线咨询,直接与专家相互交流,详细咨询!
5、张口呼吸习惯影响牙齿矫正:可造成上牙弓狭窄、腭盖高拱、上颌牙前牙前突或拥挤不齐,甚至导致开唇露齿、牙龈肥厚增生、牙龈出血。
中韩国际·唯美口腔牙齿矫正技术推荐
韩式四维隐形正畸技术是完全个性化的设计理念,可根据正畸者的情况佩带不同的矫治器,完全不影响正畸者的生活。具有隐形高效,稳定美观的特点,并且大大地缩短了疗程,使治疗时间缩短近三分之一,复诊时间缩短二分之一,为正畸者大大节省了时间,透明韩式四维隐形正畸矫正矫治器厚度不到1mm,透明、光滑、舒适,无异物感和粘膜刺激,是目前最受欢迎和信赖的美齿项目。推荐阅读:韩式隐形正畸
中韩国际·唯美口腔牙齿矫正专家推荐

李玉如,口腔正畸科。副教授,副主任医师,硕士生导师,口腔医学正畸专业硕士。1991年毕业于中山医科大学口腔系,一直从事口腔正畸的临床、教学和科研工作,临床经验丰富,并注重知识的学习更新,2004年硕士学位毕业。擅长正畸科各类牙颌畸形及疑难病例的矫治,对青少年反牙合、开牙合、功能性矫治、阻生牙的导萌牵引及成年人牙颌畸形、牙周病的正畸治疗有良好的疗效。点击在线咨询,了解牙齿矫正的优惠信息!在线预约可享更多优惠!
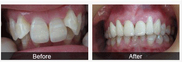
中韩国际·唯美口腔牙齿矫正前后对比图

温馨提示:牙齿矫正的手术现在尤为普遍,选择一个正规的口腔机构进行牙齿矫正非常重要,我们需要让家长家长、幼儿园及学校老师尽可能的督促青少年,建议您与中韩国际·唯美口腔的在线医生及时沟通,以更好的帮您解决牙齿问题.

就诊指南
预约挂号
医院专家
在线咨询