郑州龅牙矫正价格多少
郑州龅牙矫正价格多少?牙齿是人类的重要器官,关系着人们饮食过程的咀嚼消化,龅牙虽然常见,却是一种很严重的畸形,对人的牙齿功能造成很大伤害,还影响了个人的外表形象,给人们的生活造成很多不便,需要及时进行矫正,那么郑州龅牙矫正价格多少?
龅牙是一种常见的牙齿畸形,一定要去正规专业的口腔医院去做牙齿矫正,这里中韩国际唯美口腔专家介绍选择的几个要点:
一、所选矫正方法的影响:目前医学上主要通过戴牙套、牙齿打磨、美容冠等方法来矫正暴牙,但是戴牙套时间长,至少需要半年,虽然矫正时间长,但对牙体本身没有伤害。另外就是打磨牙齿,虽然起效时间不长,马上就可以改变形象,但对牙齿的本身伤害非常大。
二、所选矫正医院的影响:规模不同的医院,所拥有的设备和牙齿矫正技术不同,矫正的效果就相差很远,价格自然也是不同的,大型的机构收费比较统一、合理。
三、所选矫正专家的影响:每个医生的等级、专业度等不同,做出来的效果也会有区别,而做手术的价格也会不同,那么龅牙矫正的费用也会不同。了解更多龅牙矫正,点击在线咨询,直接与专家相互交流,详细咨询!
四、所在矫正地区的影响:不同地区消费水平不同,做龅牙矫正的费用肯定也是不同的,经济比较发达的地方,做龅牙矫正价格就会高一些,而有些地区做龅牙矫正的价格,就普遍比较便宜。
中韩国际·唯美口腔牙齿矫正技术推荐
韩式四维隐形正畸技术是完全个性化的设计理念,可根据正畸者的情况佩带不同的矫治器,完全不影响正畸者的生活。具有隐形高效,稳定美观的特点,并且大大地缩短了疗程,使治疗时间缩短近三分之一,复诊时间缩短二分之一,为正畸者大大节省了时间,透明韩式四维隐形正畸矫正矫治器厚度不到1mm,透明、光滑、舒适,无异物感和粘膜刺激,是目前最受欢迎和信赖的美齿项目。推荐阅读:韩式隐形正畸
中韩国际·唯美口腔牙齿矫正专家推荐

李玉如,口腔正畸科。副教授,副主任医师,硕士生导师,口腔医学正畸专业硕士。1991年毕业于中山医科大学口腔系,一直从事口腔正畸的临床、教学和科研工作,临床经验丰富,并注重知识的学习更新,2004年硕士学位毕业。擅长正畸科各类牙颌畸形及疑难病例的矫治,对青少年反牙合、开牙合、功能性矫治、阻生牙的导萌牵引及成年人牙颌畸形、牙周病的正畸治疗有良好的疗效。点击在线咨询,了解牙齿矫正的优惠信息!在线预约可享更多优惠!
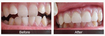
中韩国际·唯美口腔牙齿矫正前后对比图

温馨提示:以上是关于龅牙矫正价格的介绍,龅牙患者一定要及时矫正,以免对身心健康造成其他的伤害,您若还有疑问或是想了解得更为详细具体,可直接点击中韩国际·唯美口腔的在线咨询或拨打免费热线电话,唯美专家将会耐心细致为您做出详细解答。

就诊指南
预约挂号
医院专家
在线咨询