全口牙缺失该怎么办呀
全口牙缺失该怎么办呀?中老年人在晚年最烦恼的事情,莫过于牙齿缺失,特别是全口牙缺失,对饮食生活的正常进行都是一种不便,长时期不解决,对身心健康很不利,那么,全口牙缺失该怎么办?
中老年人出现牙齿缺失现象很正常,如今,很多人选择做种植牙来解决缺失问题。
种植的牙齿能获得良好的固位,基本恢复咀嚼效率,而不损伤邻牙;种植体还能将咀嚼力传导到颌骨上,对植入部位的骨组织形成功能性刺激,延缓牙槽骨的吸收,使缺失牙的修复基本恢复原来的功能和完美的外观,成为真正的美容修复体。修复后戴用舒适、无异物感。修复过程操作比较复杂,临床技术要求高。
治疗的过程微创、痛苦小:从开始准备到完全成功植入,牙齿缺失的朋友只需进行一次微创手术,就能拥有一口美观漂亮的固定义齿,而且不影响顾客朋友日常生活和工作。了解更多种植牙,点击在线咨询,直接与专家相互交流!
唯美口腔的种植牙技术是运用了全口牙CT为您口腔检查,在进行种植之前,为您进行心理的放松聊天,手术不到一个小时,种植完毕。做好的种植牙会根据您的正面、侧面、动态、静态多个角度观察整个口腔的美感,种上去的牙与自然牙得到了高度和谐统一。
中韩国际·唯美口腔牙齿种植技术推荐
中韩国际·唯美口腔独家引进的“亲骨”种植技术是采用普兰梅卡口腔全景机进行3D口腔CT成像,根据自身牙体骨骼或以自身骨组织系数来定制骨粉,比起传统的人造骨粉,更加精确无误,而且生物相容性更好、更稳定牢固、愈合更迅速。由于3D口腔CT成像的直接应用,使“亲骨”种植技术成功率大大的提高了,并象征着口腔种植领域的发展,迈出了革命性的一步。推荐阅读:亲骨超导种植技术
中韩国际·唯美口腔牙齿种植专家推荐

郑淳奎,口腔颌面外科硕士、口腔修复医学博士。精堪技术:种植牙修复。毕业于韩国首尔大学牙医学院,1995年赴瑞典皇家学院口腔医学院、美国华盛顿大学口腔医学院求学,先后获得了口腔颌面外科硕士、牙周病学硕士、口腔修复医学博士等学位。回国后将韩国整形医学与德国CEREC 3D数字齿雕系统结合,革新了口腔美容设计的传统治疗方法,获韩国齿周科学会新人学术奖及保健福利部长官奖。2000年又赴德国深造普士即刻种植牙技术,并成为第一位为德国人实施种植手术的亚洲专家。对各种种植修复技术有很深的造诣,先后在日本齿周科学会、日本齿科学会发表论文,获大韩齿周科学会新人学术奖,获韩国保健福利部长官奖,在韩国牙科界享有很高的美誉。点击在线咨询,了解牙齿种植的优惠信息!在线预约可享更多优惠!
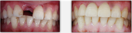
中韩国际·唯美口腔种植牙前后对比图

郑州牙科排名最好的医院温馨提示:中韩国际·唯美口腔作为一家先进的专业的口腔医院,拥有网络远程会诊信息系统,能够为每一个患者争取最佳治疗时间,享受最权威的医疗资源。

就诊指南
预约挂号
医院专家
在线咨询