全口种植牙哪家医院好
全口种植牙哪家医院好,如今,随着人们对口腔健康的重视,很多全口牙齿缺失的患者想要通过做种植牙来修复缺牙,但是全口种植牙对于医院的要求较高。于是,很多患者都有疑问,全口种植牙哪家医院好,下面我们就去了解一下吧。

全口种植牙哪家医院好
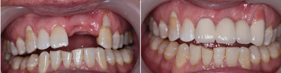
全口牙缺失做种植牙好吗郑州唯美口腔专家介绍,种植牙是通过医学方式,将与人体骨质兼容性高的纯钛金属经过精密的设计,制造成类似牙根的形状,以外科小手术的方式植入缺牙区的牙槽骨内,经过 1~3 个月后,人工牙根与牙槽骨密合后,再在人工牙根上制作烤瓷牙冠,从而达到修复缺失牙齿的效果,种植牙十分耐用,效果也十分自然,所以非常受欢迎。推荐阅读<<<<什么情况下要做人工种植牙
种植牙需要的时间比较长,在手术前,求美者要先进行术前检查,若存在特别松的牙齿、残根等现象,就要先进行处理,情况稳定之后才能进行种植牙;为了能达到好的种植牙效果,在手术前医生还要根据求美者的情况设计手术方案,然后通过手术将种植体植入骨内,枚种植体的时间大概是10~30分钟左右;在将植体植入骨内四五个月之后,就会在植体上做烤瓷牙,种植牙手术就完成了。
郑州最好的牙科医院郑州唯美口腔坚持以人文本的理念,秉承创建“安全、科学、洁净、舒适”的国际化口腔医疗服务新标准为宗旨”。致力于将国际领先的口腔医疗服务模式引入经济发展正呈现爆式增长的中国市场。为每一位有口腔疾病的患着提供良好的服务。

就诊指南
预约挂号
医院专家
在线咨询