牙齿缺失怎么样的修复效果好
牙齿缺失怎么样的修复效果好?牙齿在我们生活中起着至关重要的作用,牙齿一旦出现缺失则会给我们带来各种的麻烦,饮食上的限制,胃部消化系统的压力,以及口腔的健康。那么牙齿缺失选择什么样的修复方法好呢?
中韩国际·唯美口腔专家介绍:最好的修复牙齿缺失的办法就是种植牙,通过种植牙修复后的牙齿可以拥有媲美真牙的功能,咀嚼功能好,固位更佳,也更加舒适,无塑料基托。种植牙修复牙齿缺失具有以下优点。
首先,种植牙舒适逼真。种植牙技术的运用,可以改善配戴传统假牙所产生的不适感,而且它不因研磨您的牙齿,外观上也更接近真牙,最重要的是牙齿稳定性高,吃东西的时候更方便咀嚼。在口腔卫生的保养上,种植牙保养更为方便,可以和真牙一样刷牙清洁。
其次,做种植牙安全无痛。种植牙的手术很小,一般种植体植入术只需要几十分钟到数小时就可以完成,无需住院,手术过程完全无痛,术后即可进食,不影响正常生活。 相关阅读:上海做种植牙可以用多长时间另外,种植牙坚固长久。种植牙的失败率低于人类自身牙齿的失牙率,有近四十年以上还在完好地使用种植牙的病例。纯钛种植体,与周围骨质牢牢“长”在一起,起到类似真牙牙根的作用。推荐阅读:亲骨超导种植技术
中韩国际·唯美口腔独家引进的亲骨超导即刻种植是采用普兰梅卡口腔全景机进行3D口腔CT成像,根据自身牙体骨骼或以自身骨组织系数来定制骨粉,比起传统的人造骨粉,更加精确无误,而且生物相容性更好、更稳定牢固、愈合更迅速。由于3D口腔CT成像的直接应用,使亲骨种植技术成功率大大的提高了,并象征着口腔种植领域的发展,迈出了革命性的一步。点击在线咨询,了解种植牙的优惠信息!在线预约可享更多优惠!
中韩国际·唯美口腔牙齿种植专家推荐

郑淳奎,口腔颌面外科硕士、口腔修复医学博士。精堪技术:种植牙修复。毕业于韩国首尔大学牙医学院,1995年赴瑞典皇家学院口腔医学院、美国华盛顿大学口腔医学院求学,先后获得了口腔颌面外科硕士、牙周病学硕士、口腔修复医学博士等学位。回国后将韩国整形医学与德国CEREC 3D数字齿雕系统结合,革新了口腔美容设计的传统治疗方法,获韩国齿周科学会新人学术奖及保健福利部长官奖。2000年又赴德国深造普士即刻种植牙技术,并成为第一位为德国人实施种植手术的亚洲专家。对各种种植修复技术有很深的造诣,先后在日本齿周科学会、日本齿科学会发表论文,获大韩齿周科学会新人学术奖,获韩国保健福利部长官奖,在韩国牙科界享有很高的美誉。
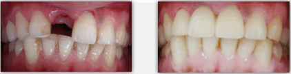
中韩国际·唯美口腔牙齿种植前后对比图

如果您还有想要了解的情况,可以点击我们的在线咨询,中韩国际·唯美口腔的在线专家会给您最专业,最详细的解答,或是拨打我们的24小时康复热线,与专家一对一详解。

就诊指南
预约挂号
医院专家
在线咨询