郑州牙齿正畸医院
郑州牙齿正畸医院,如果您想要一个美丽俊朗的形象,如果你想要一个良好的社会和人际关系,那么你一定不要忽视牙齿的健康和美观,因为牙齿的细节也会是你成功与否的关键。很多人就关系郑州牙齿正畸医院,那么下面我们就一起去了解一下吧。

郑州牙齿正畸医院
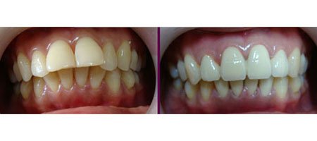
牙列不齐要怎么矫正郑州唯美口腔专家介绍,隐形矫治采用的是完全个性化的设计理念,通过三维诊断软件,主诊医生可以在矫治前为演示整个矫正过程,方便医患沟通。并且,材料是由已通过FDA认证的弹性透明高分子材料制成,安全可靠;矫治器厚度不到1mm,光滑舒适,戴用时无明显异物感和粘膜刺激,感觉舒适。
牙齿矫正要注意哪些问题
一、要克服矫正器初戴期的不适:刚刚戴用矫正器的初始几天甚至一、二周内,由于托槽及弓丝对口腔软组织的磨擦以及矫正器力的释放,可能引起牙齿酸胀甚至疼痛,以及颊唇部粘膜的刺痛,患者要有这个思想准备并配合医生渡过这个初始期。
二、请细心保护好矫正装置:粘结在牙面上的托槽及穿行其中的弓丝都是非常精细的装置,患者必须倍加呵护,这就必须做到刷牙既要仔细,动作又要轻盈,避免暴力碰撞装置;进食或咀嚼食物时动作要轻,尽量避免食用粗硬食物;手指不要触摸或拨弄牙面上的矫正装置。推荐阅读<<<<<牙齿拥挤有哪些危害
三、需严格依照医嘱进行配合:患者应该严格遵循医生的要求,在整个治疗过程中配合治疗,如橡皮圈的更换、口外弓的应用、活动矫正器 的戴用。另外,遵嘱准时复诊也是达到良好矫治效果的必要条件。
郑州唯美口腔医院是省市区医保定点医疗机构,是中国口腔前领着、健康 中国诚信医院,牙齿美容特色医院。为数以万计中外朋友提供高质量医疗服 务,不仅注重对医学技术精益求精,而且注重在医疗服务中充分体现人文关怀精神 ,树立以患者为中心的服务理念。望广大患者放心就诊。

就诊指南
预约挂号
医院专家
在线咨询