郑州做矫正最好的医院
郑州做矫正最好的医院,牙齿不齐若不得到及时矫正,长大后还会因此背上沉重的精神包袱,以致 在婚姻、社交、工作职业选择上遇到重重障碍。所以牙齿不齐的时候一定要及时矫正,那么很多人 就关心郑州做矫正最好的医院,下面我们就去了解一下吧。

郑州做矫正最好的医院
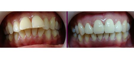
牙齿不整齐要怎么办郑州唯美口腔医院专家介绍。唯美口腔引进的隐形牙齿矫正采用的是完全个性化的设计理念,通过 三维诊断软件,主诊医生可以在矫治前为演示整个矫正过程,方便医患沟通。并且,材料是由已通 过FDA认证的弹性透明高分子材料制成,安全可靠;矫治器厚度不到1mm,光滑舒适,戴用时无明显异 物感和粘膜刺激,感觉舒适。
如何预防牙齿不齐
1、孩子是否有不良的吮指、舔舌、咬唇习惯。对于这些习惯家长应耐心指导他们加以纠正。推荐阅读<<<,郑州矫正牙医院哪家好
2、孩子在替牙过程中,是否有恒牙错位萌出的迹象,或是否有恒牙迟萌等现象。比较保险的做 法是在替牙过程中带孩子去口腔科做常规检查,医生会根据情况提出建议的。
3、注意孩子的食物构成,应尽量多地给孩子吃些富有纤维素的食品,使咀嚼功能充分发挥并刺 激颌骨发育。
郑州牙科医院郑州唯美口腔医院是省市区医保定点医疗机构,是中国口腔前领着、健康 中国诚信医院,牙齿美容 特色医院。为数以万计中外朋友提供高质量医疗服 务,不仅注重对医学技术精益求精,而且注重在 医疗服务中充分体现人文关怀精神 ,树立以患者为中心的服务理念。望广大患者放心就诊。

就诊指南
预约挂号
医院专家
在线咨询