郑州做矫正牙最好的医院
郑州做矫正牙最好的医院,牙齿排列不齐在人群中不分年龄阶段且有普遍性。专家指出,随着牙齿矫正技术的进步,牙齿矫正已经没有年龄限制的,只是要选对适合的方法,就可以达到不反弹的效果。那么郑州做矫正牙最好的医院,下面我们就去了解一下吧。

郑州做矫正牙最好的医院
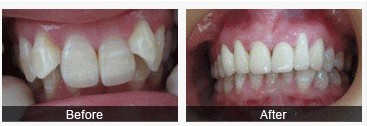
牙列不齐要怎么矫正郑州唯美口腔医院专家介绍,专家介绍说:牙齿畸形会导致脸型的不协调,影响面容美观。如“龅牙”,“龅牙”是最为常见的一类牙颌面畸形。龅牙者常常表现为开唇露齿,自然状态下双唇不能闭拢,微笑时牙龈外露过多。龅牙者常常伴有颏后缩,强迫闭口时,下唇下方与颏部之间有明显的软组织隆起。口内上下前牙唇倾,常伴拥挤不齐,前牙深覆牙颌。这种牙列不齐都会直接影响一个人的脸型,从而影响个人美观和形象。
专家指出:告别牙齿不齐,美容冠是你最好的选择,美容冠不单是把牙齿排好,更重要的是调整好咬合关系,最大限度地发挥咀嚼功能,保证矫治后咬合的稳定。另一个目的是为了矫治牙弓的近远中关系不调,改善牙弓突度,调整磨牙关系,使上下牙弓之间、颌骨与颅面之间的矢状不调得以改善,从而改善面型和你的颜面容貌,让你拥有美丽的笑容,让美丽笑容从“齿”启航。推荐阅读<<<<郑州矫正牙医院哪家好
郑州唯美口腔坚持以人文本的理念,公司秉承创建“安全、科学、洁净、舒适”的国际化口腔医疗服务新标准为宗旨”。致力于将国际领先的口腔医疗服务模式引入经济发展正呈现爆式增长的中国市场。为每一位有口腔疾病的患着提供良好的服务。

就诊指南
预约挂号
医院专家
在线咨询