牙齿拥挤有哪些危害
牙齿拥挤有哪些危害?在我们日常生活中,我们经常会看到有些人的牙齿非常的拥挤,牙齿拥挤对个人的口腔健康危害极大,如果不注意清洁卫生很容易导致交叉感染,而且牙齿拥挤还很影响个人的外在形象,那么牙齿拥挤的危害有哪些呢?下面我们就一起去了解一下吧。

牙齿拥挤有哪些危害?郑州唯美口腔医院口腔专家指出,牙齿拥挤的危害有以下4点:
1、牙列不齐要怎么办牙齿拥挤影响牙齿清洁,减弱牙齿的自洁作用。牙齿都有自洁功能,就是在我们进食时利用食物与牙齿表面之间的摩擦作用把牙面上的污物摩擦掉。牙齿排列不齐首先就会造成牙齿之间容易积存食物残渣,减弱牙齿的这种功能,造成牙齿的清洁困难。
2、牙齿拥挤易患牙病,牙齿拥挤,牙齿排列不整齐,就很难保证口腔卫生,由于刷牙不容易刷干净,牙垢常堆积在牙缝中,形成细菌滋生繁殖的理想场所,使牙齿容易发生龋齿,牙龈也很容易发炎。
3、牙齿拥挤影响上下颌牙齿之间的咬合关系,进而影响正常的咀嚼功能,降低咀嚼效率,久而久之,可能因此而引起消化不良和胃肠功能的紊乱。长期的受力过大,过度疲劳,牙齿、牙周都会不堪重负,损伤慢慢出现,最终造成牙齿的过早脱落。推荐阅读<<<<<牙齿矫正拔牙危害
4、牙齿拥挤影响发育、某些牙齿排列不齐,会妨碍上下牙弓颌骨的正常发育,使畸形愈来愈严重。例如,前牙反颌,下前牙盖在上前牙的外边,下牙弓阻挡了上前牙向前的发育,使上颌骨的发育也受到影响;而下颌骨过度地向前发育,造成面部中央凹陷畸形。
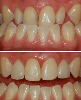
郑州牙科医院牙齿拥挤有哪些危害?郑州唯美医院最先引进隐形矫正技术,先进的矫正系统,隐形高效,持久美观,安全舒适,矫治力量柔和。治疗时间比常规治疗时间缩短近1/3,矫治器精美小巧,就像一种美丽的“牙饰”,实用价值也毫不逊色。使口腔中的装置更为简洁,临床效果更加精确,受到众多爱美人士的青睐。

就诊指南
预约挂号
医院专家
在线咨询