郑州矫正牙齿有年龄限制吗
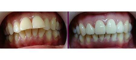
郑州矫正牙齿有年龄限制吗,当今社会更加重视个人形象和健康,拥有怡人的笑容[及整齐的牙齿]能使你自信倍增。对于任何年龄的人,健康、美丽的笑容都能增进自信心,很多人问,郑州矫正牙齿有年龄限制吗矫治器只适用于儿童的说法已经不再正确。越来越多的成年人也在寻求牙齿矫正治疗,以改善他们的笑容,改正牙齿咬合状况或纠正因碰伤、疾病或长久忽视口腔护理所造成的其它问题。

郑州矫正牙齿有年龄限制吗
牙列不齐要怎么矫正在任何年龄都可以移动健康的牙齿。成年人的许多牙齿矫正问题可以象儿童那样容易解决。对于六十岁成年人和十二岁儿童,牙齿矫正中所施加的力对牙齿的移动效果是一样的。当然,因为成年人面部骨骼不再生长,一些严重的牙齿咬合不正问题并不能单用矫治器来矫正,有时需要运用颌面外科手术和配合矫齿才能解决。推荐阅读<<<<郑州牙齿正畸医院
与儿童相比,成年人接受全面的牙齿矫正治疗时会有更多的限制。牙齿咬合问题是因为上下颌骨发育不良所引起,因为成年人的面部和骨骼已基本定型,要通过牙齿矫正治疗根治。只有结合牙齿矫正和颌面外科手术的方法,才能矫正成年人颌骨发育的偏差。在矫正儿童颌部结构组织中使用的功能矫正器,一般来说在成年人身上使用并不成功。
郑州最好的牙科医院郑州唯美口腔医院是省市区医保定点医疗机构,不仅注重对医学技术精益求精,而且注重在医疗服务中充分体现人文关怀精神,树立以患者为中心的服务理念。中韩专家强强联手、联袂在郑州唯美口腔亲诊,为郑州市民口腔健康把脉,提供国际水准的诊疗方案,最短时间内、最小伤害实现最理想的口腔修复,塑造唯美口腔钻石品质。广大患者可放心就诊。

就诊指南
预约挂号
医院专家
在线咨询