郑州牙齿矫正隐形的要多少钱
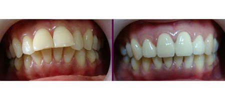
郑州牙齿矫正隐形的要多少钱,牙齿畸形问题是个令人很头疼的问题,严重的影响了人的形象不说,还导致了很多的上班族失去了很多的机会,最主要的是,对口腔存在着很大的威胁,那么怎么办呢?专家说,应该立即采取隐形矫正。那么郑州牙齿矫正隐形的要多少钱,下面我们就去了解一下吧。

郑州牙齿矫正隐形的要多少钱
牙齿矫正费用郑州唯美口腔专家介绍,隐形正畸是现代化数码高科技辅助设计、快速成形技术和新材料完美结合的产物。这种矫治器是透明的,没有陈规矫治所采纳的托槽和钢丝,可自行摘戴。它满足了您既想矫正牙齿又怕影响美丽的需求,让您在旁人不知不觉中让牙齿变整洁。专家介绍说,隐形正畸价格跟多方面因素有关,毕竟每个人牙齿畸形情况不同,治疗难易程度不同,用度也有差别。牙齿矫正前期治疗包括检察、拍X光片,设计、分牙、粘托槽,有的可能须要拔牙,这些细节都会影响到它的价格。同时,隐形正畸也分为很多种类型,类型不同,价格自然各异了。
影响形矫正价格的因素:
一、隐形矫正跟其他的矫正方法不同,这种方法是一种高科技的产物,连隐形牙套的设计都是使用的3D操作,所以相比于一般的矫正方法,隐形矫正的价格是不一样的。热切现在也不只有外力矫正这一种方法,还有做烤瓷牙矫正、手术矫正等等,不同的方法价格都是不一样的。
二、在患者的情况不同的情况下要采取不同的治疗方案,这样才能活动更好地治疗效果。患者的情况不同,所需要的治疗时间也不一样,所以价格也是有所能不同的。就像有的人只有个别的牙齿畸形,矫正只需要几个月的时间,有些人却是全口牙齿严重畸形,需要进的时间才能矫正好,这其中的价格肯定是不一样的。推荐阅读<<<<郑州最好的牙齿矫正医院是哪家
三、医院的不同代表者医资实力的不同,代表者医生技术的不同,还代表者医院设备的不同等等。很多的小诊所都是唯利是图的地方,只图利益而不对患者负责,这根实力雄厚的正规医院有着根本性的区别,所以不要因为价格低而放弃 最好的治疗,牙齿健康也是很重要的,每个人都要为自己的健康负责。
郑州最好的牙科医院郑州唯美口腔坚持以人文本的理念,公司秉承创建“安全、科学、洁净、舒适”的国际化口腔医疗服务新标准为宗旨”。致力于将国际领先的口腔医疗服务模式引入经济发展正呈现爆式增长的中国市场。为每一位有口腔疾病的患着提供良好的服务。

就诊指南
预约挂号
医院专家
在线咨询