郑州哪家医院做矫正牙齿好
郑州哪家医院做矫正牙齿好,使用无托槽隐形牙套进行牙齿矫正,矫正时比较美观,不影响形象。可以无声无息的帮你改变牙齿。隐形牙齿矫正是目前国际上最先进的正畸技术之一,那么很多人就关心郑州哪家医院做矫正牙齿好,下面我们就去了解一下吧。

郑州哪家医院做矫正牙齿好
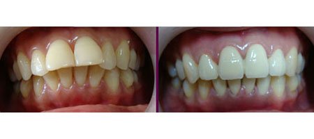
牙齿不齐要怎么办郑州哪家医院做矫正牙齿好,首选郑州唯美口腔,专家介绍隐形矫正又叫“隐形无托槽矫正”,是牙齿矫正的一种。 牙齿正畸专家介绍,这种隐形矫治技术继承了传统的牙颌畸形矫治理念,是现代口腔医学、计算机辅助三维诊断、个性化设计及数字化成型技术的完美结合。那么郑州唯美口腔采用的是时代天使矫正,下面我们就去了解一下吧。
郑州唯美口腔隐形矫正
时代天使隐形矫治器是如何矫治牙齿的:专家们通过计算机模拟矫正过程,并用进口弹性透明高分子材料为每一个过程制作一副矫治器,整个治疗过程就是换用这一系列矫治器。时代天使隐形矫治器是通过在牙齿上施加适当的、可控制得力来使牙齿移动。每两周更换下一副矫治器,牙齿就会从初始的畸形状态逐渐移动到正常的排列状态,从而达到矫治效果。推荐阅读<<<郑州美容冠牙齿矫正哪家医院好
郑州牙科医院郑州唯美口腔遵循“重视人才、尊重人才、发现人才、培养人才、重用人才”的管理思想。营造公平、温馨、和睦、友爱、稳定工作环境,鼓励员工良性竞争、积极成长;组建一支有向心力、凝聚力、战斗力和创造力的优秀团队。不断创新为广大患者提供更好的服务。

就诊指南
预约挂号
医院专家
在线咨询