牙齿矫正对于年龄有没有限制
牙齿矫正对于年龄有没有限制?随着人们对生活质量的要求提高,牙齿美观也受到了关注,很多人想通过矫正牙齿来改善个人形象和口腔功能,可是又有点担心自己的年纪,那么,牙齿矫正对于年龄有没有限制?
对于牙齿矫正的年龄问题,很多人会很在意,其实,牙齿矫正是没有年龄限制的问题的。
随着牙齿矫正技术的不断发展,牙齿矫正范围也在不断扩大,牙齿矫正的年龄不再是问题,只要牙周健康,一般来说都是可以做牙齿矫正。所以如果牙周有问题,比如有牙周炎,有龋齿等问题,要先治疗之后进行牙齿矫正。了解更多牙齿矫正,点击在线咨询,直接与专家相互交流!
最适合牙齿矫正的年龄段是在儿童与青少年时期,对于成年人来说,在以前只能采取传统的牙齿矫正方式,虽说矫正难度相对来说较大,但是也是能够矫正的。
中韩国际·唯美口腔牙齿矫正技术推荐
韩式四维隐形正畸技术是完全个性化的设计理念,可根据正畸者的情况佩带不同的矫治器,完全不影响正畸者的生活。具有隐形高效,稳定美观的特点,并且大大地缩短了疗程,使治疗时间缩短近三分之一,复诊时间缩短二分之一,为正畸者大大节省了时间,透明韩式四维隐形正畸矫正矫治器厚度不到1mm,透明、光滑、舒适,无异物感和粘膜刺激,是目前最受欢迎和信赖的美齿项目。推荐阅读:韩式隐形正畸
中韩国际·唯美口腔牙齿矫正专家推荐

李玉如,口腔正畸科。副教授,副主任医师,硕士生导师,口腔医学正畸专业硕士。1991年毕业于中山医科大学口腔系,一直从事口腔正畸的临床、教学和科研工作,临床经验丰富,并注重知识的学习更新,2004年硕士学位毕业。擅长正畸科各类牙颌畸形及疑难病例的矫治,对青少年反牙合、开牙合、功能性矫治、阻生牙的导萌牵引及成年人牙颌畸形、牙周病的正畸治疗有良好的疗效。点击在线咨询,了解牙齿矫正的优惠信息!在线预约可享更多优惠!
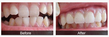
中韩国际·唯美口腔牙齿矫正前后对比图

温馨提示:以上讲述的是牙齿矫正的年龄,希望对大家对矫正的认识更深入,更多相关信息,可以直接点击我们中韩国际·唯美口腔的“在线咨询”进行询问,在线专家将给出最专业、最权威的解答。

就诊指南
预约挂号
医院专家
在线咨询