牙齿矫正需要注意哪些
牙齿矫正需要注意哪些?牙齿的美丽越来越引起人们的重视,日常生活中,很多人发现自己的牙齿排列不整齐,或者不是很洁白,出现了这样的问题就需要及时进行牙齿矫正,那么,牙齿矫正需要注意哪些?
牙齿矫正的方式越来越多,很多时候,牙齿矫正需要注意一些问题:
一、要去正规医院,做正规治疗,千万不要相信什么牙科诊所,虽然贵点,但是效果好,能有保障。
二、装上牙齿矫正器后,必须加倍注意口腔卫生,否则容易患上蛀牙和牙周病。戴上矫治器后能刷牙,而且要更仔细,一定要注意口腔卫生、正确的刷牙方法。
三、固定矫正器是通过特殊材料粘结在牙齿上的,其中两到五天里,牙齿可能因受力而感到酸痛。口腔粘膜也可能被矫治器擦伤,但这些都是能忍受和预防的,而且一个星期后会自动消失。
四、治疗将近结束时,根据患者情况制作保持器,以保持所取得的矫治效果,只要坚持配戴,一般不会复发。了解更多牙齿矫正,点击在线咨询,直接与专家相互交流!
五、矫治器安置好后,一般一个月复诊一次。
中韩国际·唯美口腔牙齿矫正技术推荐
中韩国际·唯美口腔率先引进的韩式四维隐形正畸技术继承了传统的牙颌畸形矫治的理念,是现代口腔医学、计算机辅助四维诊断、个性化设计及数字化成型技术的完美结合,是正畸领域的新突破。韩式四维隐形正畸由权威专家坐诊,实现全程无痛无创快速疗法,专门治疗各种牙齿排列不整齐,咬合错位等牙齿形态问题,还你一口整齐、坚固耐用的健康原牙。推荐阅读:韩式隐形正畸
中韩国际·唯美口腔牙齿矫正专家推荐

李玉如,口腔正畸科。副教授,副主任医师,硕士生导师,口腔医学正畸专业硕士。1991年毕业于中山医科大学口腔系,一直从事口腔正畸的临床、教学和科研工作,临床经验丰富,并注重知识的学习更新,2004年硕士学位毕业。擅长正畸科各类牙颌畸形及疑难病例的矫治,对青少年反牙合、开牙合、功能性矫治、阻生牙的导萌牵引及成年人牙颌畸形、牙周病的正畸治疗有良好的疗效。点击在线咨询,了解牙齿矫正的优惠信息!在线预约可享更多优惠!
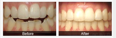
中韩国际·唯美口腔牙齿矫正前后对比图

温馨提示:牙齿矫正的方式很多,朋友们需要根据自己的情况,选择适合的方案,更多相关信息,可以点击中韩国际·唯美口腔在线咨询,向口腔专家请教,详细咨询!

就诊指南
预约挂号
医院专家
在线咨询