牙套的分类有哪些
冯阿姨带着女儿去口腔医院做牙齿矫正手术。当医生给她无托槽牙套的时候,顿时惊呆了。想当年自己配戴普通牙套的时候,已经令当时的同学们惊奇不已。当女儿戴上新型的牙套时,冯阿姨不禁想起了那一年自己配戴的牙套。那么,牙套的分类有哪些呢?
牙套的分类:
现在科技的发展,牙套已经发展到很多方便和美观的技术了。可以分为:普通钢牙套、舌侧牙套(隐形牙套)、陶瓷牙套、无托槽牙套,自锁牙套(钢自锁、陶瓷自锁),还有完全看不到的隐形牙套。技术越来越先进,矫正牙齿的时候,痛苦越来越少,速度越快,越美观。
一、普通牙套
普通金属托槽主要是金属托槽。进口金属托槽表面光滑,体积小巧,结实耐用,槽沟准确,制作精良,有助于牙齿的完美排列,托槽边缘特有的圆润化处理减少了对口腔黏膜的不良刺激,并且价格适中。
二、舌侧牙套
陶瓷托槽具有和真牙一样的色泽和美观性。陶瓷托槽和唾液接触并不会影响其美观性。使用高质量瓷粉制造的陶瓷托槽具有和金属托槽相同的机械强度和功能。专家说,相对于金属托槽,陶瓷托槽较为易碎。
三、自锁牙套
3M自锁托槽是在传统矫治器托槽的基础上进行了改进,并且在设计上区别于临床上较多使用的方丝弓托槽、直丝弓托槽、舌侧矫治器以及隐形矫治器。它能够锁住弓丝,且弓丝无需结扎,可利用机械性特殊弹簧片进行固定,不存在结扎橡皮圈老化和力量衰减现象的问题,而且其摩擦力低,有助于实现轻力矫治。
四、无托槽牙套
无托槽隐形矫治技术,是采用高分子材料所制成的透明矫治器,改变了传统正畸过程中“钢丝铁牙”的局面,能在无钢丝、无托槽的状态下完成牙齿矫正。这种方法能在佩戴牙套矫正牙齿的同时不影响美观,并且可自行摘带,让治疗者在不知不觉中矫正牙齿,恢复正常的颌面形态,真正满足了人们既矫正牙齿又不影响美观的需求。推荐阅读:韩式隐形正畸
中韩国际·唯美口腔韩式隐形正畸技术推荐
唯美口腔率先引进的韩式隐形正畸技术继承了传统的牙颌畸形矫治的理念,是现代口腔医学、计算机辅助四维诊断、个性化设计及数字化成型技术的完美结合,是正畸领域的新突破。韩式隐形正畸由中韩齿科专家联合坐诊,实现全程无痛无创快速疗法,专门治疗各种牙齿排列不整齐,咬合错位等牙齿形态问题,还你一口整齐、坚固耐用的健康原牙。该技术是完全个性化的设计理念,可根据正畸者的情况佩带不同的矫治器,完全不影响正畸者的生活。具有隐形高效,稳定美观的特点,并且大大地缩短了疗程,使治疗时间缩短近三分之一,复诊时间缩短二分之一,为正畸者大大节省了时间,透明隐形正畸矫正矫治器厚度不到1mm,透明、光滑、舒适,无异物感和粘膜刺激,是目前最受欢迎和信赖的美齿项目。点击在线咨询,了解牙齿矫正的各项优惠活动,在线预约可享更多优惠!
中韩国际·唯美口腔牙齿矫正专家推荐

李玉如,口腔正畸科。副教授,副主任医师,硕士生导师,口腔医学正畸专业硕士。1991年毕业于中山医科大学口腔系,一直从事口腔正畸的临床、教学和科研工作,临床经验丰富,并注重知识的学习更新,2004年硕士学位毕业。擅长正畸科各类牙颌畸形及疑难病例的矫治,对青少年反牙合、开牙合、功能性矫治、阻生牙的导萌牵引及成年人牙颌畸形、牙周病的正畸治疗有良好的疗效。
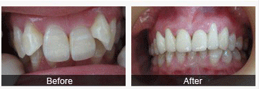
中韩国际·唯美口腔牙齿矫正前后对比图

温馨提示:如果您觉得我们的文章并没有解释得很清楚,或有其他问题,您可以点击我们的在线咨询专家。中韩国际·唯美口腔会给您一个专业的分析,详细的解答,并给您一个满意的答复!

就诊指南
预约挂号
医院专家
在线咨询