牙齿矫正什么时候最合适
丁老师五年期喜得龙女,本想让女承母业,但最近发现女儿口腔出现了局部的牙列不齐。尽管女儿将来不一定要站在三尺讲台,但也会影响女儿的成长。于是丁老师决定带女儿做牙齿矫正手术,却又不知道还处在换牙期的孩子是否适合矫正牙齿?
牙齿矫正的最佳时期:
牙列不齐患者的矫正治疗要掌握最佳的矫正时机。儿童错颌的矫治,在不同的年龄段有不同的处理方法:
1、乳牙期(3~6岁)。矫治的目的主要是为了促进儿童颌面部的正反颌、下颌前突、后牙反颌等妨碍颌面部正常发肓及正常功能的口腔不良习惯。
2、替牙期(6~12岁)。此期可出现局部的牙列不齐,一般不必急于矫正,但对于前牙反颌,下颌功能性后缩及上下颌间关系异常需要及时矫正
3、恒牙期(12岁~)。12岁左右恒牙列开始形成,此时牙齿一旦出现牙列不齐均不会自动消失,只能通过口腔正畸专科医生的矫正治疗方能纠正,此期是儿童牙列不齐矫治的最佳时期,疗效最好,各种牙列不齐均可进行矫正。推荐阅读:韩式隐形正畸
中韩国际·唯美口腔韩式隐形正畸技术推荐
唯美口腔率先引进的韩式隐形正畸技术继承了传统的牙颌畸形矫治的理念,是现代口腔医学、计算机辅助四维诊断、个性化设计及数字化成型技术的完美结合,是正畸领域的新突破。韩式隐形正畸由中韩齿科专家联合坐诊,实现全程无痛无创快速疗法,专门治疗各种牙齿排列不整齐,咬合错位等牙齿形态问题,还你一口整齐、坚固耐用的健康原牙。该技术是完全个性化的设计理念,可根据正畸者的情况佩带不同的矫治器,完全不影响正畸者的生活。具有隐形高效,稳定美观的特点,并且大大地缩短了疗程,使治疗时间缩短近三分之一,复诊时间缩短二分之一,为正畸者大大节省了时间,透明隐形正畸矫正矫治器厚度不到1mm,透明、光滑、舒适,无异物感和粘膜刺激,是目前最受欢迎和信赖的美齿项目。点击在线咨询,了解牙齿矫正的各项优惠活动,在线预约可享更多优惠!
中韩国际·唯美口腔牙齿矫正专家推荐

李玉如,口腔正畸科。副教授,副主任医师,硕士生导师,口腔医学正畸专业硕士。1991年毕业于中山医科大学口腔系,一直从事口腔正畸的临床、教学和科研工作,临床经验丰富,并注重知识的学习更新,2004年硕士学位毕业。擅长正畸科各类牙颌畸形及疑难病例的矫治,对青少年反牙合、开牙合、功能性矫治、阻生牙的导萌牵引及成年人牙颌畸形、牙周病的正畸治疗有良好的疗效。
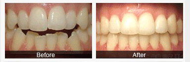
中韩国际·唯美口腔牙齿矫正前后对比图

温馨提示:如果您觉得我们的文章并没有解释得很清楚,或有其他问题,您可以点击我们的在线咨询专家。中韩国际·唯美口腔会给您一个专业的分析,详细的解答,并给您一个满意的答复!

就诊指南
预约挂号
医院专家
在线咨询