隐形矫正的流程有哪些
最近高小姐别提有多高兴了。两年前,她做了牙齿隐形矫正手术,现在算是彻底告别了牙齿矫正器,整副牙齿也实现了完美的蜕变。现在回想起来,之前的付出是多么的值得。专家表示隐形矫正是一个长期的过程,不可能一蹴而就。那么,隐形矫正的流程有哪些呢?
隐形矫正的流程:
一、首先医生要给接受正畸者做一个全面的检查,为接受正畸者取模型,拍X光片,拍照片。在这些诊断都出来以后,医生再为接受者做设计。设计可能涉及接受正畸者要不要拔牙的问题,严重的颌骨形可能需要配以相应的手术才能达到好的效果。
二、然后,医生就会为接受正畸者选择适当的隐形托槽矫正器,用适当的方式安装上去。因为几乎每个人的畸形情况都不相同,所以医生在选择矫正器和安装矫正器时,一定要充分考虑到接受正畸者的实际情况。
一般情况下,接受正畸者在安装好矫正器后就可以回家了,并不需要住院。但是整个正畸过程是比较长的。
三、一般说两年左右,或者更长一些,期间要定期到医院 检查。因为矫正器安装一段时间后,畸形部位会有一定程度的移动,哪么医生就要适当的调整矫正器的安装方式,到一定的程度可能还要调换矫正器。
还有要注意的就是,即使畸形部位完全矫正了,也要定期去医院检查,以防止反弹。推荐阅读:韩式隐形正畸
中韩国际·唯美口腔韩式隐形正畸技术推荐
唯美口腔率先引进的韩式隐形正畸技术继承了传统的牙颌畸形矫治的理念,是现代口腔医学、计算机辅助四维诊断、个性化设计及数字化成型技术的完美结合,是正畸领域的新突破。韩式隐形正畸由中韩齿科专家联合坐诊,实现全程无痛无创快速疗法,专门治疗各种牙齿排列不整齐,咬合错位等牙齿形态问题,还你一口整齐、坚固耐用的健康原牙。该技术是完全个性化的设计理念,可根据正畸者的情况佩带不同的矫治器,完全不影响正畸者的生活。具有隐形高效,稳定美观的特点,并且大大地缩短了疗程,使治疗时间缩短近三分之一,复诊时间缩短二分之一,为正畸者大大节省了时间,透明隐形正畸矫正矫治器厚度不到1mm,透明、光滑、舒适,无异物感和粘膜刺激,是目前最受欢迎和信赖的美齿项目。点击在线咨询,了解牙齿矫正的各项优惠活动,在线预约可享更多优惠!
中韩国际·唯美口腔牙齿矫正专家推荐

李玉如,口腔正畸科。副教授,副主任医师,硕士生导师,口腔医学正畸专业硕士。1991年毕业于中山医科大学口腔系,一直从事口腔正畸的临床、教学和科研工作,临床经验丰富,并注重知识的学习更新,2004年硕士学位毕业。擅长正畸科各类牙颌畸形及疑难病例的矫治,对青少年反牙合、开牙合、功能性矫治、阻生牙的导萌牵引及成年人牙颌畸形、牙周病的正畸治疗有良好的疗效。
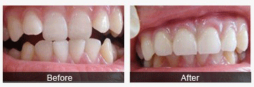
中韩国际·唯美口腔牙齿矫正前后对比图

温馨提示:如果您觉得我们的文章并没有解释得很清楚,或有其他问题,您可以点击我们的在线咨询专家。中韩国际·唯美口腔会给您一个专业的分析,详细的解答,并给您一个满意的答复!

就诊指南
预约挂号
医院专家
在线咨询