您所在的位置郑州唯美口腔医院首页 > 郑州牙齿矫正 >
郑州牙齿矫正
郑州牙齿矫正

牙齿矫正的常见办法有哪些

发布日期:2013-12-12 17:20:18 文章来源:郑州唯美口腔医院浏览次数(0

  牙齿矫正的常见办法有哪些?生活中很多人被参差不齐的牙齿搞得头疼,牙齿功能损害不说,形象也遭受损害,很多成人希望纠正牙齿位置,改善牙齿排列,牙齿矫正是个好办法,那么牙齿矫正的常见办法有哪些?

  一般成人牙齿矫正,通常注重门牙排齐没有、美不美观,一般情况下,牙齿矫正的办法有以下四种:

  1、活动矫治器:普通常用于乳牙和替牙期的比拟简单的错和畸形的矫正,或许配合固定矫治器进行矫治。病人本人可以摘戴。

  2、固定轿治器:最为常用的矫治器。患者本人不能摘戴。

  3、功用轿治器:主要用于替牙期或许刚刚换完牙还处于生长发育顶峰期的儿童,应用功用矫治器可以矫正骨性错和畸形。了解更多牙齿矫正,点击在线咨询,直接与专家相互交流,详细咨询!

  4、正颌外科:严重的牙颌面畸形,比方上颌前突,上颌后缩,下颌前突,下颌后缩,单纯的矫正不能处理时,就需求经过外科手术和正畸结合矫治的办法。

  成人牙齿矫正不仅是排齐牙齿,建立稳定的咬合关系、恢复良好的口腔咀嚼功能才是医师和患者应该关心的主要目标。

  中韩国际·唯美口腔牙齿矫正技术推荐

  韩式四维隐形正畸技术是完全个性化的设计理念,可根据正畸者的情况佩带不同的矫治器,完全不影响正畸者的生活。具有隐形高效,稳定美观的特点,并且大大地缩短了疗程,使治疗时间缩短近三分之一,复诊时间缩短二分之一,为正畸者大大节省了时间,透明韩式四维隐形正畸矫正矫治器厚度不到1mm,透明、光滑、舒适,无异物感和粘膜刺激,是目前最受欢迎和信赖的美齿项目。推荐阅读:韩式隐形正畸

  中韩国际·唯美口腔牙齿矫正专家推荐

  李玉如,口腔正畸科。副教授,副主任医师,硕士生导师,口腔医学正畸专业硕士。1991年毕业于中山医科大学口腔系,一直从事口腔正畸的临床、教学和科研工作,临床经验丰富,并注重知识的学习更新,2004年硕士学位毕业。擅长正畸科各类牙颌畸形及疑难病例的矫治,对青少年反牙合、开牙合、功能性矫治、阻生牙的导萌牵引及成年人牙颌畸形、牙周病的正畸治疗有良好的疗效。点击在线咨询,了解牙齿矫正的优惠信息!在线预约可享更多优惠!

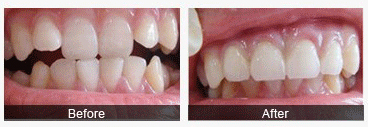
  中韩国际·唯美口腔牙齿矫正前后对比图

  温馨提示:通过口腔专家对成人牙齿矫正的作用的介绍,相信您对此有了一定的了解,如果您还有什么疑问,请点击下方的在线咨询,中韩国际·唯美口腔医院将根据您的具体情况,为您制定一套适合您的治疗方案。