牙齿矫正需要花费多少钱
牙齿好看不好看越来越受到人们的关注,已经成为人们的一个标签,在人们的日常生活交往中占据的地位也逐渐加重。牙齿拥挤不齐是一种很常见的牙齿畸形,严重影响了一个人的外表形象,改变形象,从牙齿开始,那么牙齿矫正需要花费多少钱?
牙齿矫正的费用几千到几万元不等。牙齿矫正的费用还与自身牙齿的情况、选择的医院与方法有关,再按照牙齿畸形的情况、难度、方法来选择,价格都会有所浮动。一般情况下,人们多选用牙套的方式来逐渐改善牙齿外形。
牙套的种类有很多的,如传统的钢丝牙套、隐形牙套等,隐形牙套又可以分为很多种,每种价格都是不一样的。唯美口腔专家介绍,矫正牙齿选择隐形牙套比较好。了解更多隐形牙套,点击在线咨询,直接与专家相互交流,详细咨询!
隐形牙套的价格跟很多因素相关的,包括你选择的医院、技术、口腔状况、牙齿畸形程度等等,一般来说,它比传统的牙套要贵,但是其优势也是传统牙套无法比拟的。隐形牙套美观、舒适,矫正过程中没有美观障碍,且不会造成钢丝损伤。此外,它的矫正时间比传统牙套缩短一半,复诊次数少,非常便捷。同时可以随时摘下,十分清洁和方便。
中韩国际·唯美口腔牙齿矫正技术推荐
韩式四维隐形正畸技术是完全个性化的设计理念,可根据正畸者的情况佩带不同的矫治器,完全不影响正畸者的生活。具有隐形高效,稳定美观的特点,并且大大地缩短了疗程,使治疗时间缩短近三分之一,复诊时间缩短二分之一,为正畸者大大节省了时间,透明韩式四维隐形正畸矫正矫治器厚度不到1mm,透明、光滑、舒适,无异物感和粘膜刺激,是目前最受欢迎和信赖的美齿项目。推荐阅读:韩式隐形正畸
中韩国际·唯美口腔牙齿矫正专家推荐

李玉如,口腔正畸科。副教授,副主任医师,硕士生导师,口腔医学正畸专业硕士。1991年毕业于中山医科大学口腔系,一直从事口腔正畸的临床、教学和科研工作,临床经验丰富,并注重知识的学习更新,2004年硕士学位毕业。擅长正畸科各类牙颌畸形及疑难病例的矫治,对青少年反牙合、开牙合、功能性矫治、阻生牙的导萌牵引及成年人牙颌畸形、牙周病的正畸治疗有良好的疗效。点击在线咨询,了解牙齿矫正的优惠信息!在线预约可享更多优惠!
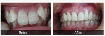
中韩国际·唯美口腔牙齿矫正前后对比图

温馨提示:如果您对口腔方面还有其他疑问,可直接向我们中韩国际·唯美口腔医院的在线专家免费咨询!专家届时会针对您的问题,给出专门个人的诊疗方案。欢迎点击在线咨询。

就诊指南
预约挂号
医院专家
在线咨询