牙齿不齐应该怎么去治疗
牙齿不齐一般情况下不会有疼痛感,所以很多人也不太在意,然而长期对牙齿拥挤不齐的不重视会导致牙龈炎、牙周炎的发生。如今牙齿整齐美观已经成为个人形象的一个标准,在日常生活和工作中,牙齿不齐给我们造成不少的麻烦不便,那么牙齿不齐应该怎么去治疗?
牙齿矫正是通过正畸或外科手术等方法治疗错颌畸形,矫正牙齿的方法有以下几点:
1、颌面外科牙齿矫正:有的爱美者有严重的牙颌面畸形,如上颌后缩,下颌前突等等,一般的正畸方法移动牙齿的距离是有限的,并不能保证效果.而颌面外科可以较大范围内搬动牙和骨头,所以效果更好.
2、矫治器正畸:通过作用力使畸形的额骨、错位牙齿藉牙周支持组织发生变化,以利于牙颌面正常生长发育,而且不妨碍正常的咀嚼、发音等功能,以及美观、舒适和耐用。
3、烤瓷牙:是先用合金制成金属基底,再在其表面覆盖与天然牙相似的低熔瓷粉,在真空高温烤瓷炉中烧结熔附而成,可以很好矫正龅牙、虎牙等.了解牙齿矫正,点击在线咨询,直接与专家交流,详细咨询!
4、美容冠:美容冠是当前新兴的一种牙齿整形方法,其在传统烤瓷牙的基础上强调牙齿的美容效果,具有美牙不拔牙 ,无痛苦,时间短,牙齿坚固,多年后牙龈不会出现黑线等优点,矫正效果持久.
中韩国际·唯美口腔牙齿矫正技术推荐
韩式四维隐形正畸技术是完全个性化的设计理念,可根据正畸者的情况佩带不同的矫治器,完全不影响正畸者的生活。具有隐形高效,稳定美观的特点,并且大大地缩短了疗程,使治疗时间缩短近三分之一,复诊时间缩短二分之一,为正畸者大大节省了时间,透明韩式四维隐形正畸矫正矫治器厚度不到1mm,透明、光滑、舒适,无异物感和粘膜刺激,是目前最受欢迎和信赖的美齿项目。推荐阅读:韩式隐形正畸
中韩国际·唯美口腔牙齿矫正专家推荐

李玉如,口腔正畸科。副教授,副主任医师,硕士生导师,口腔医学正畸专业硕士。1991年毕业于中山医科大学口腔系,一直从事口腔正畸的临床、教学和科研工作,临床经验丰富,并注重知识的学习更新,2004年硕士学位毕业。擅长正畸科各类牙颌畸形及疑难病例的矫治,对青少年反牙合、开牙合、功能性矫治、阻生牙的导萌牵引及成年人牙颌畸形、牙周病的正畸治疗有良好的疗效。点击在线咨询,了解牙齿矫正的优惠信息!在线预约可享更多优惠!
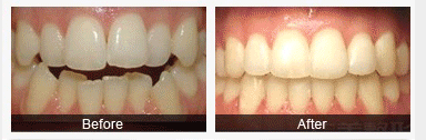
中韩国际·唯美口腔牙齿矫正前后对比图

温馨提示:以上就是关于矫正方法问题的详细讲解.为了方便广大朋友及时了解咨询或是预约,中韩国际·唯美口腔特开通免费在线专家坐诊和预约挂号服务,如果您有任何口腔问题,都可直接在线咨询专家,提前预约享大优惠.我们将竭诚为您提供帮助,使您的问题第一时间得到解决.

就诊指南
预约挂号
医院专家
在线咨询