牙齿矫正的过程是怎么进行的
如今的人们已经不再为吃饱穿暖而操心了,所谓“仓廪实而知礼节,衣食足而知荣辱”,人们的目光也转向了自身形象的美观,口腔牙齿的健康和美观也受到了人们的重视,牙齿矫正已经逐渐被爱美人士接受,是修复牙齿不齐的重要方法,那么牙齿矫正的过程是怎么进行的?
牙齿矫正是修复改善牙齿不齐的重要手段,其手术过程也需要注意很多,大致的过程有以下几步:
1、首先印取牙模,然后在石膏模上,按牙齿正畸科医生指示制造矫正器。
2、调校弹弓或镙丝,让病人尝试佩戴牙齿矫正器。
3、定期检查牙齿移动进度和将矫正器调整到合适位置。了解牙齿矫正,点击在线咨询,与专家一对一交流,详细咨询!
4、当牙齿移至理想位置后,矫正器可保留作固定器,防止出现反弹。
中韩国际·唯美口腔牙齿矫正技术推荐
韩式四维隐形正畸技术是完全个性化的设计理念,可根据正畸者的情况佩带不同的矫治器,完全不影响正畸者的生活。具有隐形高效,稳定美观的特点,并且大大地缩短了疗程,使治疗时间缩短近三分之一,复诊时间缩短二分之一,为正畸者大大节省了时间,透明韩式四维隐形正畸矫正矫治器厚度不到1mm,透明、光滑、舒适,无异物感和粘膜刺激,是目前最受欢迎和信赖的美齿项目。推荐阅读:韩式隐形正畸
中韩国际·唯美口腔牙齿矫正专家推荐
李玉如,口腔正畸科。副教授,副主任医师,硕士生导师,口腔医学正畸专业硕士。1991年毕业于中山医科大学口腔系,一直从事口腔正畸的临床、教学和科研工作,临床经验丰富,并注重知识的学习更新,2004年硕士学位毕业。擅长正畸科各类牙颌畸形及疑难病例的矫治,对青少年反牙合、开牙合、功能性矫治、阻生牙的导萌牵引及成年人牙颌畸形、牙周病的正畸治疗有良好的疗效。点击在线咨询,了解牙齿矫正的优惠信息!在线预约可享更多优惠!
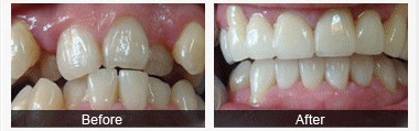
中韩国际·唯美口腔牙齿矫正前后对比图

温馨提示:如果您对口腔方面还有其他疑问,可直接向我们中韩国际·唯美口腔医院的在线专家免费咨询!专家届时会针对您的问题,给出专门个人的诊疗方案。欢迎点击在线咨询。

就诊指南
预约挂号
医院专家
在线咨询