郑州唯美儿童牙齿矫正案例
姓名:乐乐
年龄:12
职业:学生
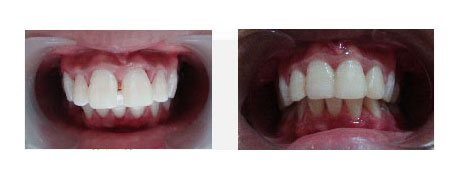
缺陷:牙齿缝隙大,前突
项目:儿童牙齿矫正

乐乐今年已经上小学五年级了。因为在换牙齿的时候,喜欢吃硬东西。结果门牙跟门牙之间有根缝,还有平时不好的习惯导致牙齿前突。因此同学们也给他取了个绰号叫“西班牙”。他一点都不喜欢他们这样叫,总觉得是在嘲笑他。使他变得讨厌上学,也不喜欢和同学们一起玩。
后来,乐乐的妈妈李女士发现乐乐最近总是这么沉默寡言,就跟乐东交流了下,李女士这时候才知道了乐乐厌学的原因。暑假,李女士就带乐乐来了郑州唯美口腔口腔医院,让赵医生给乐乐做牙齿矫正。乐乐也很积极的配合。推荐阅读:郑州唯美成人牙齿矫正案例
牙齿矫正两个月后李女士逐渐发现,乐乐的门牙那根缝在变小、牙齿也没有那么前突了。经过六个月的牙齿矫正过后,乐乐现在的牙齿的缝隙就完全没有了,也不用带矫正套了。重新回到了学校,同学们也不叫那个外号了,让乐乐变得更加自信。

就诊指南
预约挂号
医院专家
在线咨询