门牙缺失可以做即刻种植牙吗?
门牙是口腔的守护将军,一旦缺失不仅形象不佳,进食讲话也都大受影响。一些朋友因为各种原因导致门牙缺失,口腔的守护将军不在了,出门再也不能像往常一样开口大笑了,朋友聚会也不能谈笑风生了,生活也失去了很多乐趣。常规的种植牙治疗都需要几个月的时间,听说有一种即刻种植牙技术,门牙缺失可以做即可种植牙手术吗?
门牙相对其他牙齿来说有一些特殊性,人们一开口首先看到的就是门牙,所以对门牙种植的美学要求特别高。即刻种植一般来说手术时间不超过一个小时,能够满足人们对门牙功能性和美学性的要求吗?下面我们先来了解一下什么是即刻种植,就知道能不能满足人们的要求了。
即刻种植牙指的是在拔牙后,即刻植入人工种植体。即刻种植减少了手术次数,缩短了疗程,手术创伤小,患者痛苦小。即刻种植需要在计算机系统指挥下,根据顾客的口腔CT曲面断层扫描数据自动形成精确立体的三维口腔骨骼图像,精确的测量出牙槽骨的质和量等数据,快速匹配出最佳标准模型,在术中精确引导种植体植入的精准位置和适合深度,让种植过程变得十分安全、快速、精准、微创。即刻种植其成功率与在已愈合的牙槽嵴种植相近。即刻种植成功对医院的技术设备,医生的经验要求很高。
由此可见,门牙缺失完全可以采用即可种植牙技术来完成修复。只是对于医院的设备,专家团队有很高的要求。因为即刻种植存在美学风险,尤其是在上颌前牙区。上颌前牙区美学区域即刻种植属于难度较高的种植临床治疗病例范畴,如果主治医生没有精湛的技术,深厚的牙齿美学功底,门牙的即刻种植也很难成功。推荐阅读:门牙松动了该怎么治疗
郑州唯美口腔率先引进国际先进的3D口腔CT设备,它能够提供高清晰的口腔诊断影像,同时引进瑞典NOBEL种植牙系统,医生可以根据这些数据为患者制定合适的方案,大大提高了种植牙的安全性和成功率。目前河南地区其他口腔医院还没有这一设备。唯美口腔拥有大量技术精湛的专家,都有很多成功的案例,为你成功种植门牙提供保障。
唯美口腔经典案例1:

在种植牙手术前,黄先生被后牙缺牙的现象困扰着,给他带来了许多的不便,还经常导致口腔疾病的发生,而且旁边的牙齿也开始松动了,因此,才决定进行种植牙手术进行改善的。专家根据黄先生的情况进行设计以后,再进行种植牙手术的。【详细】
唯美口腔经典案例2:
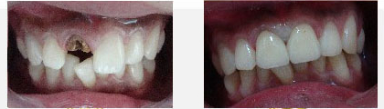
张女士由于不小心摔跤磕掉两颗门牙,年纪轻轻就没了门牙,怎么享受生活呀,张女士去了很多家医院都无法立即进行种植牙修复。医生都说必须通过拔牙后,经过3—6个牙槽骨愈合以后才能植牙。通过网络搜索,张女士看到郑州唯美口腔的即刻种植术后,非常高兴。第二天就来到医院。郑州唯美口腔的专家为张张女士做了检查,告诉她即刻种植术非常适合她这种牙齿残缺的患者。张女士的牙齿修复很快完成,她非常感慨,“没想到这么快就完成了,而且一点都不疼!”医生告诉他,口腔内已经安装上临时牙,当天晚上就可以正常进餐。【详细】
唯美口腔专家团队
![]() |
![]() |
![]() |
![]() |
| 莫三心 | 徐雅轩 | 赵和平 | 王天才 |
![]() |
![]() |
![]() |
![]() |
唯美口腔温馨提示:门牙对于一个人的容貌来说很是重要,门牙种植对美学方面的要求也很苛刻。一定要到正规的信誉好的口腔医院,才能够极大保障种植门牙的成功。

就诊指南
预约挂号
医院专家
在线咨询



