郑州全口牙种植怎么样
郑州全口牙种植怎么样?全口牙缺失对很多患者朋友造成了很多不便,如今口腔医疗技术中,做种植牙是目前成熟的治疗修复牙齿缺失的最先进手段,那么,郑州全口牙种植怎么样?
当患者全口缺牙,最佳的处理方案就是进行全口种植牙。
长期全口牙缺失的患者,由于牙床萎缩、吸收,高度降低。患者最苦恼的问题是假牙戴不稳,特别是下颌义齿,一张口就脱落。了解更多种植牙,点击在线咨询,直接与专家相互交流!
种植牙(义齿)是由种植体和种植体支持的上部结构组成的特殊修复体。种植体是人工材料制作,经牙槽外科手术植入颌骨内,起牙根的作用,经过一段时间(3-6个月),种植体与周围骨组织发生骨结合,然后利用种植牙根做支持,在其上方安装人工牙冠,达到恢复缺失牙、恢复咀嚼功能的作用。
中韩国际·唯美口腔牙齿种植技术推荐
亲骨超导即刻种植技术是运用3D口腔CT成像技术,根据扫描数据分析病人牙床的骨质密度、牙槽骨本身的高度、宽度等信息,运用国际先进的微创种植技术,提取牙齿缺失患者自身的牙体骨骼来定制人造骨,保持极高的生物活性,避免了与空气接触后的活性丧失,骨粉在血液循环的作用下与牙槽骨迅速、牢固地结合,达到极佳的口腔相容性。采用微螺纹表面特殊处理的种植体,最大限度增加与颌骨接触面积,使种植体在良好的成骨组织上稳固生长,实现真牙般的咀嚼感受。这样极大地提高了种植牙手术的成功率。推荐阅读:亲骨超导种植技术
中韩国际·唯美口腔牙齿种植专家推荐

郑淳奎,口腔颌面外科硕士、口腔修复医学博士。精堪技术:种植牙修复。毕业于韩国首尔大学牙医学院,1995年赴瑞典皇家学院口腔医学院、美国华盛顿大学口腔医学院求学,先后获得了口腔颌面外科硕士、牙周病学硕士、口腔修复医学博士等学位。回国后将韩国整形医学与德国CEREC 3D数字齿雕系统结合,革新了口腔美容设计的传统治疗方法,获韩国齿周科学会新人学术奖及保健福利部长官奖。2000年又赴德国深造普士即刻种植牙技术,并成为第一位为德国人实施种植手术的亚洲专家。对各种种植修复技术有很深的造诣,先后在日本齿周科学会、日本齿科学会发表论文,获大韩齿周科学会新人学术奖,获韩国保健福利部长官奖,在韩国牙科界享有很高的美誉。点击在线咨询,了解牙齿种植的优惠信息!在线预约可享更多优惠!
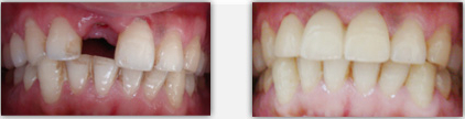
中韩国际·唯美口腔种植牙前后对比图

郑州牙科排名最好的医院温馨提示:中韩国际·唯美口腔现在开通网络预约就诊功能,患者可以通过网络预约来院进行咨询,预约后,凭预约短信享受优惠,无需排队挂号,减少您的就诊时间。更多相关信息,欢迎在线咨询专家

就诊指南
预约挂号
医院专家
在线咨询