郑州种植全口牙齿要多少钱
郑州种植全口牙齿要多少钱?做种植牙如今已经成为很多缺牙患者的首选方式,而全口牙缺失需要的植体更多,所需种植牙手术的费用就更高了,那么,郑州种植全口牙齿要多少钱?
唯美口腔专家介绍说,种植牙全口牙的影响因素有以下几点:
1、跟种植系统有关系,郑州唯美口腔连锁引进的美国3i种植系统,设计独特优化了骨骼在种植体表面的生长环境,提高了植入的稳定性,缩短了治疗时间,非常不错。
2、顾客选择的医院及医生都有关系,选择权威专业的牙科,并要求技术精湛的医生做全口种植牙,价格就较一般小诊所要高些。了解更多种植牙价格,点击在线咨询,直接与专家相互交流!
3、跟顾客的牙齿情况也会有关系,全口种植牙多少钱不仅仅包括种植体的价格,还有做种植牙之前的前行治疗和口腔其他疾病的治疗,还包括术后的修复等。
中韩国际·唯美口腔牙齿种植技术推荐
中韩国际·唯美口腔独家引进的“亲骨”种植技术是采用普兰梅卡口腔全景机进行3D口腔CT成像,根据自身牙体骨骼或以自身骨组织系数来定制骨粉,比起传统的人造骨粉,更加精确无误,而且生物相容性更好、更稳定牢固、愈合更迅速。由于3D口腔CT成像的直接应用,使“亲骨”种植技术成功率大大的提高了,并象征着口腔种植领域的发展,迈出了革命性的一步。唯美的管理严格遵循国际化医院管理服务标准,引进国际先进消毒管理体系,完全杜绝交叉感染,保证治疗质量。其手术室是中原首家国际标准口腔手术室营运基地,全程无菌可视化操作。采用数码诊疗操作流程及管理系统,与国际最先进的口腔医疗体系紧密接轨使口腔诊疗技术创伤更小、痛苦更小、时间更短、效果更好。推荐阅读:亲骨超导种植技术
中韩国际·唯美口腔牙齿种植专家推荐

郑淳奎,口腔颌面外科硕士、口腔修复医学博士。精堪技术:种植牙修复。毕业于韩国首尔大学牙医学院,1995年赴瑞典皇家学院口腔医学院、美国华盛顿大学口腔医学院求学,先后获得了口腔颌面外科硕士、牙周病学硕士、口腔修复医学博士等学位。回国后将韩国整形医学与德国CEREC 3D数字齿雕系统结合,革新了口腔美容设计的传统治疗方法,获韩国齿周科学会新人学术奖及保健福利部长官奖。2000年又赴德国深造普士即刻种植牙技术,并成为第一位为德国人实施种植手术的亚洲专家。对各种种植修复技术有很深的造诣,先后在日本齿周科学会、日本齿科学会发表论文,获大韩齿周科学会新人学术奖,获韩国保健福利部长官奖,在韩国牙科界享有很高的美誉。点击在线咨询,了解牙齿种植的优惠信息!在线预约可享更多优惠!
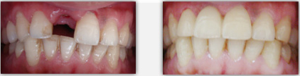
中韩国际·唯美口腔种植牙前后对比图

郑州牙科排名最好的医院温馨提示:中韩国际·唯美口腔医院拥有先进的网络远程会诊信息系统,为每一位患者争取最佳治疗时机、享受最权威医疗资源、申请最优惠的治疗价格。

就诊指南
预约挂号
医院专家
在线咨询