有些情况不适合做全瓷牙
有些情况不适合做全瓷牙?很多人贪图全瓷牙的美观耐用,而选择全瓷牙改善牙齿,可是并不是每个人都适合做全瓷牙,那么,由唯美口腔专家给大家介绍不适合做全瓷牙的一些情况。
全瓷牙并不是万能的,有些不适合做全瓷牙的现象很正常,一般情况下,以下几点就不适合:
1、有口腔疾病的人,如牙齿有炎症,应该等炎症消除完再做全瓷牙。
2、18岁以下的未成年人因为牙槽骨发育还没有完成,所以也不合适做全瓷牙。了解更多全瓷牙,点击在线咨询,直接与专家相互交流!
3、怀孕或者哺乳期的女性也不适合做全瓷牙。
中韩国际·唯美口腔牙齿美容技术推荐
中韩国际·唯美口腔拥有的3D全瓷牙采用国际最高端的氧化锆材料,运用先进的CT三维数字扫描技术、电脑智能CAD/CAM系统设计,在短时间内根据患者的口腔条件、脸型、肤色,量身定做个性化全瓷牙修复美容方案。3D全瓷牙拥有完美的精密度;具有真牙相匹配的透光性,色泽逼真,可媲美自然牙;良好的生物相容性,对牙龈无刺激;强度绝佳,强度超出真牙,拥有卓越的咬合力量,无不良金属离子渗出,磨牙较少,更大程度地保留原有的牙齿组织,所以能达到最佳的美齿效果及与软组织的最舒适接触。推荐阅读:3D全瓷牙
中韩国际·唯美口腔牙齿美容专家推荐

莫三心教授,主任医师,硕士研究生导师。唯美口腔特邀专家,河南省口腔医学领域权威专家、郑州大学知名教授。精湛技术:牙齿种植、口腔修复、牙齿美容修复曾多次获得卫生部及省市各级表彰。主编多部并且参与编写多部国家医学教材,发表学术论文20余篇。擅于口腔修复,并涵盖口腔专业各个领域,可谓是大师级的口腔专家,在国内口腔界享有很高的声望。点击在线咨询,了解牙齿美容的优惠信息!在线预约可享更多优惠!
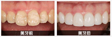
中韩国际·唯美口腔牙齿美容前后对比图

郑州牙科医院排名最好的温馨提示:中韩国际·唯美口腔现在开通网络预约就诊功能,患者可以通过网络预约来院进行咨询,预约后,凭预约短信享受优惠,无需排队挂号,减少您的就诊时间。更多相关信息,欢迎在线咨询专家

就诊指南
预约挂号
医院专家
在线咨询