郑州全瓷牙多少钱一颗
郑州全瓷牙多少钱一颗?口腔美容技术的发展,以及我们对美的追求,越来越多的爱美者开始选择全瓷牙来修复牙齿所出现的各种问题。而另一方面,许多朋友想要了解的就是全瓷牙的价格问题。下面跟随郑州权威口腔科专家来了解一下全瓷牙的价格。
郑州全瓷牙多少钱一颗?中韩国际·唯美口腔专家说,全瓷牙的价格并非是一个固定的,它受到其他因素的影响。
1、材料:全瓷牙的材料并非是患者所想的那么单一的,全瓷牙的材料也越来越多。目前临床上常采用的有二氧化铝全瓷牙、二氧化锆全瓷牙等,患者在选择全瓷牙的材料的时候应当像医师提出自己的要求,结合医师的建议来选择全瓷牙的材料。材料选择的不同,费用也理所当然的不同。
2、医院:现在在上海能够做全瓷牙的医院是越来越多了,但医院的医疗设备条件、技术水平、服务环境等还是有很大的差距的,专业的口腔医院在做烤瓷牙的费用肯定是要比小门诊要高的,但是更加能够保障烤瓷牙的质量。
3、地域:不同的地域在全瓷牙的加工工艺上也是有所区别的,也就影响了全瓷牙的价格。同时不同地区人们的消费能力水平不同也是会造成费用的不同的。推荐阅读:3D全瓷牙
牙齿美容技术推荐——3D全瓷牙
中韩国际·唯美口腔拥有的3D全瓷牙采用国际最高端的氧化锆材料,运用先进的CT三维数字扫描技术、电脑智能CAD/CAM系统设计,在短时间内根据患者的口腔条件、脸型、肤色,量身定做个性化全瓷牙修复美容方案。3D全瓷牙拥有完美的精密度;具有真牙相匹配的透光性,色泽逼真,可媲美自然牙;良好的生物相容性,对牙龈无刺激;强度绝佳,强度超出真牙,拥有卓越的咬合力量,无不良金属离子渗出,磨牙较少,更大程度地保留原有的牙齿组织,所以能达到最佳的美齿效果及与软组织的最舒适接触。点击在线咨询,了解牙齿美容的优惠信息!在线预约可享更多优惠!
中韩国际·唯美口腔牙齿美容专家推荐

莫三心教授,主任医师,硕士研究生导师。唯美口腔特邀专家,河南省口腔医学领域权威专家、郑州大学知名教授。精湛技术:牙齿种植、口腔修复、牙齿美容修复曾多次获得卫生部及省市各级表彰。主编多部并且参与编写多部国家医学教材,发表学术论文20余篇。擅于口腔修复,并涵盖口腔专业各个领域,可谓是大师级的口腔专家,在国内口腔界享有很高的声望。
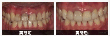
中韩国际·唯美口腔牙齿美容前后对比图

通过以上的介绍,相信您对这一问题已经有了更深的了解,中韩国际·唯美口腔专家指出,牙齿修复一定要到正规医院进行,以免由于手术不当而给自身造成终身遗憾。如果您还有其他问题,可以在线咨询专家,专家会为您做出耐心的解答。

就诊指南
预约挂号
医院专家
在线咨询