全瓷牙的护理措施有哪些
全瓷牙的护理措施有哪些?全瓷牙修复是一项需花费人力、财力的事情。每一位借助全瓷牙实现口腔美容的患者都希望这种来之不易的完美蜕变能够维持更长时间。下面专家介绍一下全瓷牙的护理措施,帮助广大爱美人士做好牙齿保护工作。
全瓷牙的护理措施:
1. 安装全瓷牙后,需要注意做好口腔卫生,如早晚刷牙,使用漱口水等。
2.注意做好牙周的保养,建议使用冲牙器,或者牙线。最好能定期(半年到一年)请医生检查全瓷牙的使用情况,以便做出正确的维护。
3.做了全瓷牙以后一定注意好保养和维护,日常进食时尽量避免过硬的食物,避免使用侧向力去撕咬食物。避免过热过凉的食物,尽量少嗑瓜子。
4.和真牙一样,全瓷牙受到超过它的应力范围的压力,也会受损,所以不要咬太硬的食物,比如核桃一类的东西,在日常进食时应尽量避免直接啃咬过硬的食物,如核桃、大闸蟹等,也尽量避免长期嗑瓜子。
5.定期复诊,让医生检查全瓷牙的使用情况,并且能及时发现其他口腔健康的其他隐患,比如牙结石、牙周疾病,维护口腔的整体健康对于全瓷牙寿命的维护很重要。推荐阅读:3D全瓷牙
中韩国际·唯美口腔3D全瓷牙技术推荐
中韩国际·唯美口腔拥有的3D全瓷牙采用国际最高端的氧化锆材料,运用先进的CT三维数字扫描技术、电脑智能CAD/CAM系统设计,在短时间内根据患者的口腔条件、脸型、肤色,量身定做个性化全瓷牙修复美容方案。3D全瓷牙拥有完美的精密度;具有真牙相匹配的透光性,色泽逼真,可媲美自然牙;良好的生物相容性,对牙龈无刺激;强度绝佳,强度超出真牙,拥有卓越的咬合力量,无不良金属离子渗出,磨牙较少,更大程度地保留原有的牙齿组织,所以能达到最佳的美齿效果及与软组织的最舒适接触。点击在线咨询,了解全瓷牙更多优惠活动,享受优先就诊!
中韩国际·唯美口腔牙齿美容专家推荐

艾西川,主任医师,精湛技术:颌面外科、牙齿美容、1小时德国西诺德CAD/CAM3D齿雕全瓷修复。毕业于中国口腔著名学府——西安第四军医大学,原南京军区口外资深专家,郑州市口腔医院院长。从事口腔全科临床工作三十余年,对口腔内外科有丰富的临床经验,拥有万例成功案例。曾获市级科研成果奖两项,省级三项,多部专著被列为医大教材,在国内外知名刊物上发表专业论文20余篇,多次应邀参加国内外口腔大型研讨会,于口腔治疗方面有独到的治疗方法,深受客人好评。
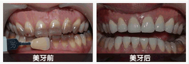
中韩国际·唯美口腔全瓷牙修复前后对比图

温馨提示:只要您正确使用,全瓷牙的使用寿命会较长的。如果您觉得我们的文章并没有解释得很清楚,或有其他问题,您可以点击我们的在线咨询专家。中韩国际·唯美口腔会给您一个专业的分析,详细的解答,并给您一个满意的答复!

就诊指南
预约挂号
医院专家
在线咨询