郑州一颗全瓷牙多少钱
郑州一颗全瓷牙多少钱?牙齿若是出现牙体缺失,或者牙齿不齐,又或者是烤瓷牙修复失败等等问题,将会给我们的生活带来很大的压力,及时修复才是最好的解决方法!技术的发展推动了全瓷牙的出现,全瓷牙修复牙齿开启了牙齿修复美容的新篇章,那么郑州一颗全瓷牙多少钱呢?
中韩国际·唯美口腔专家介绍:全瓷牙与传统烤瓷牙相比,全瓷牙修复后的牙齿效果更好、工艺更为复杂,因此相对来说与传统烤瓷牙相比,全瓷牙价格一般都较高。全瓷牙价格因地域、材料等不同而不同。例如铸瓷冠、二氧化锆电脑全瓷牙等,都属于全瓷牙,但由于材料不同全瓷牙价格也就不同。因此全瓷牙价格受到很多因素的影响。
影响全瓷牙价格的因素
1、全瓷牙价格是多少与就医环境有关。很多诊所、整形机构等都竞相开展了全瓷牙修复项目,通常正规医院与非正规医院或小诊所的医疗设备条件、技术水平、服务环境等都相差甚远,对应的全瓷牙价格也会不一样。因此患者所选择的就医环境不同,全瓷牙价格就会不同。
2、全瓷牙价格是多少与全瓷牙材料有关。全瓷牙的种类多种多样,目前常采用的有二氧化锆全瓷牙、氧化铝全瓷牙、锻瓷牙三种。患者所选择的全瓷牙材料种类不同,全瓷牙价格也就不同,当然效果也不一样。哪种全瓷牙的材料适合你呢?点击在线咨询与专家一对一的交流了解详情!
3、全瓷牙价格是多少与患者所处的地域有关。一般来讲,全瓷牙有国产和进口两种。通常地域差异、地区加工工艺等,都直接影响了全瓷牙的效果,往往也会对全瓷牙价格产生影响。
中韩国际·唯美口腔拥有的3D全瓷牙采用国际最高端的氧化锆材料,运用先进的CT三维数字扫描技术、电脑智能CAD/CAM系统设计,在短时间内根据患者的口腔条件、脸型、肤色,量身定做个性化全瓷牙修复美容方案。3D全瓷牙拥有完美的精密度;具有真牙相匹配的透光性,色泽逼真,可媲美自然牙;良好的生物相容性,对牙龈无刺激;强度绝佳,强度超出真牙,拥有卓越的咬合力量,无不良金属离子渗出,磨牙较少,更大程度地保留原有的牙齿组织,所以能达到最佳的美齿效果及与软组织的最舒适接触。推荐阅读:3D全瓷牙
中韩国际·唯美口腔牙齿美容专家推荐

艾西川,副主任医师,精湛技术:颌面外科、牙齿美容、1小时德国西诺德CAD/CAM3D齿雕全瓷修复。毕业于中国口腔著名学府——西安第四军医大学,原南京军区口外资深专家,郑州市口腔医院院长。从事口腔全科临床工作三十余年,对口腔内外科有丰富的临床经验,拥有万例成功案例。曾获市级科研成果奖两项,省级三项,多部专著被列为医大教材,在国内外知名刊物上发表专业论文20余篇,多次应邀参加国内外口腔大型研讨会,于口腔治疗方面有独到的治疗方法,深受客人好评。点击在线咨询,了解全瓷牙的优惠活动!在线预约可享受更多优惠!
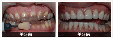
中韩国际·唯美口腔牙齿美容前后对比图

如果您觉得我们的文章没有解释的很清楚,或者还有其他疑问,您可以直接点击我们的在线咨询医生,中韩国际·唯美口腔专业咨询医生会给您耐心的,详细的解答,并给您一个满意的答复!

就诊指南
预约挂号
医院专家
在线咨询