美容冠的寿命如何延长
美容冠的寿命如何延长?爱美人士在做完美容冠后,往往沉浸在牙齿美观的喜悦中,忽略到医生的嘱咐,美容冠是需要进行日常护理的,这样才能保证美容冠长久的使用,那么,美容冠的寿命如何延长?
为了避免美容冠在日常的意外碰撞中受到损伤,下面为您介绍三个方法保护美容冠:
一、美容冠粘固后24小时内应避免使用,以免因粘固剂未完全硬固而造成脱落。在烤瓷冠戴入初期,上下牙咬合时可能不太舒适,患者要缓慢进食,逐渐适应,如假牙咬合过高,引起疼痛、松动应及时复诊。
二、由于瓷有一定的脆性,患者进食时要尽量注意避免啃咬硬物,初戴时应吃软的食物,适应后再吃正常食物。另外进行其他口腔治疗如洗牙时,要向医生指明美容冠的位置,以免对其造成不必要的伤害。由于美容冠与基牙的接合处易聚集菌斑、形成牙石,所以应特别注意保持口腔清洁,定期到医院进行口腔检查。了解更多美容冠,点击在线咨询,直接与专家相互交流!
三、美容冠的使用寿命取决于合理的设计、制作的质量和患者的使用情况。对患者来说,后者尤为主要。一般情况下美容冠的使用寿命在10年左右甚至更长,修复过程相当复杂,所以选择好的口腔专科医院以及好的专科医生可以保证美容冠的整体质量。
中韩国际·唯美口腔牙齿美容技术推荐
3D美容冠它突破传统烤瓷牙的各种弊端,强调牙齿的美容效果,对错位牙、色素牙、畸形牙的临床冠部分施以专业手段,最后用美牙冠加以修复。具有美牙不拔牙,无痛苦,时间短,牙齿坚固,只需一小时,还你整齐洁白牙齿。多年后牙龈不易出现黑线等优点,从而达到终身有保障的美容效果。推荐阅读:3D美容冠
中韩国际·唯美口腔牙齿美容专家推荐

莫三心教授,主任医师,硕士研究生导师。唯美口腔特邀专家,河南省口腔医学领域权威专家、郑州大学知名教授。精湛技术:牙齿种植、口腔修复、牙齿美容修复曾多次获得卫生部及省市各级表彰。主编多部并且参与编写多部国家医学教材,发表学术论文20余篇。擅于口腔修复,并涵盖口腔专业各个领域,可谓是大师级的口腔专家,在国内口腔界享有很高的声望。点击在线咨询,了解牙齿美容的优惠信息!在线预约可享更多优惠!
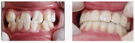
中韩国际·唯美口腔牙齿美容前后对比图

郑州牙科医院排名最好的牙科温馨提示:通过对以上内容的阅读,相信您对美容冠的保护有了一定的了解,如果您还有其他疑惑的地方,随时点击在线咨询,有在线医生为您做详细的解答!

就诊指南
预约挂号
医院专家
在线咨询