烤瓷牙使用寿命是多久
烤瓷牙使用寿命是多久?这是很多朋友在做烤瓷牙之前都会咨询到的一个问题,很多人也因为考虑这个问题而一直没有做烤瓷牙,那么它的使用寿命到底是多久呢?中韩国际·唯美口腔为您详细的讲解下影响烤瓷牙使用寿命的原因有哪些?
烤瓷牙寿命的影响因素
1、口腔医生和加工烤瓷牙技工的水平
口腔医生的技术,永远是排在第一位的。技术高超的医生,才能制作出高品质的烤瓷牙,这对烤瓷牙使用寿命至关重要。加工烤瓷技工水平的高低,是保证烤瓷牙边缘是否密合,基底冠和瓷层的厚度,瓷层内有无气泡等,这些因素也会影响烤瓷牙使用寿命。
2、烤瓷牙所使用的材料
好的烤瓷牙材料它的物理化学性能和稳定性都比较好,我们称之为生物相容性。生物相容性好的材料与人体协调、融洽,不会出现反应。生物相容性差的材料会对周围组织产生不良刺激,出现过敏、金属离子渗出等现象,从而产生牙龈炎、龈缘黑线、口腔异味等。哪种材料适合你呢?点击在线咨询与专家直接对话了解详情!
3、使用过程中是否注重保养
平时的使用情况也很重要,使用什么东西都要按使用说明来,有的朋友用牙开酒瓶子,我想再好的烤瓷牙会也坏的一天吧!怎么保养烤瓷牙呢?点击在线咨询进行了解!
中韩国际·唯美口腔专家提醒你,治疗牙齿问题一定要到正规的口腔机构及医院进行整治,戴了烤瓷牙以后,大家吃东西的时候要多注意,不吃坚硬的食,注意保持口腔卫生,定期到医院复查。推荐阅读:用心呵护口腔健康
中韩国际·唯美口腔牙齿修复专家推荐

莫三心教授,主任医师,硕士研究生导师。唯美口腔特邀专家,河南省口腔医学领域权威专家、郑州大学知名教授。精湛技术:牙齿种植、口腔修复、牙齿美容修复曾多次获得卫生部及省市各级表彰。主编多部并且参与编写多部国家医学教材,发表学术论文20余篇。擅于口腔修复,并涵盖口腔专业各个领域,可谓是大师级的口腔专家,在国内口腔界享有很高的声望。点击在线咨询。了解烤瓷牙的优惠活动!
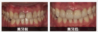
中韩国际·唯美口腔牙齿修复前后对比图

以上内容是中韩国际·唯美口腔专家关于烤瓷牙使用寿命的介绍,如果您还有想要了解的情况,可以点击我们的在线咨询或是拨打我们的24小时康复热线,与专家一对一详解。

就诊指南
预约挂号
医院专家
在线咨询